missing translation for 'onlineSavingsMsg'
Learn More

Flightless I Rabbit, anti-Human, Polyclonal, Proteintech

Rabbit Polyclonal Antibody

Brand:  Proteintech 27729-1-AP-20UL

 View more versions of this product

Product Code. 18010736

  • £135.00 / 20µL

Please to purchase this item. Need a web account? Register with us today!

This item is not returnable. View return policy

Description

Description

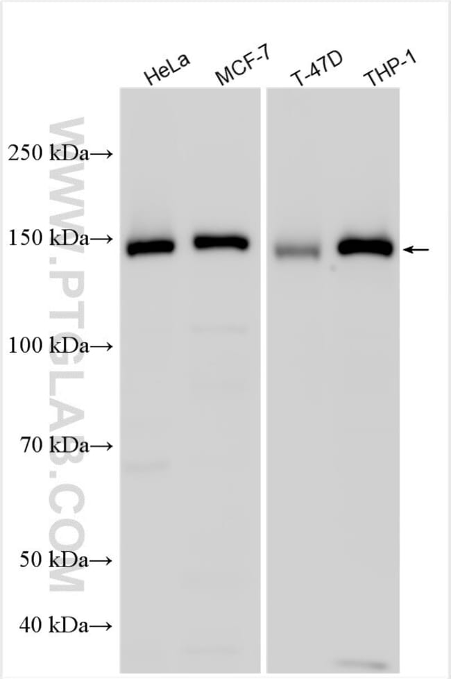
The Flightless I antibody from Proteintech is a rabbit polyclonal antibody generated with recombinant protein of human Flightless I. This antibody recognizes human antigen. The Flightless I antibody has been validated for the following applications: IF, IHC, WB, ELISA analysis.

Specifications

Specifications

Flightless I
400 μg/mL
Rabbit
Primary
Human
150 kDa
IgG
Western Blot, Immunofluorescence, Immunohistochemistry, ELISA
FLI, Fli1, Flightless-1, FLII, FLIL, Protein flightless 1 homolog
20 μL
2314
Store at -20°C. Stable for one year after shipment.
Liquid
Product Suggestions

Product Suggestions

Videos
SDS
Documents

Documents

Certificates
Promotions

Promotions

Product Content Correction

Your input is important to us. Please complete this form to provide feedback related to the content on this product.

Product Title

By clicking Submit, you acknowledge that you may be contacted by Fisher Scientific in regards to the feedback you have provided in this form. We will not share your information for any other purposes. All contact information provided shall also be maintained in accordance with our Privacy Policy.

Thank You! Your feedback has been submitted. Fisher Scientific is always working to improve our content for you. We appreciate your feedback.