missing translation for 'onlineSavingsMsg'
Learn More

FKBP51/FKBP5 Rabbit anti-Human, Mouse, Rat, Clone: 7W2R1, Novus Biologicals™

Rabbit Monoclonal Antibody

Brand:  Novus Biologicals NBP3-16750-20UL

 View more versions of this product

Product Code. 18383757

  • £158.00 / 20µL

Please to purchase this item. Need a web account? Register with us today!

This item is not returnable. View return policy

Description

Description

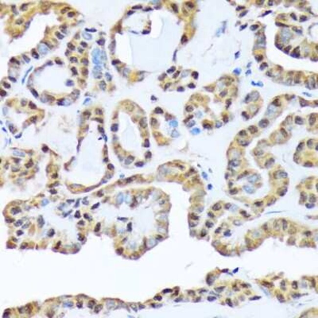
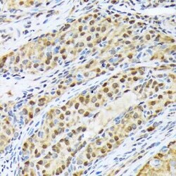
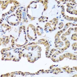
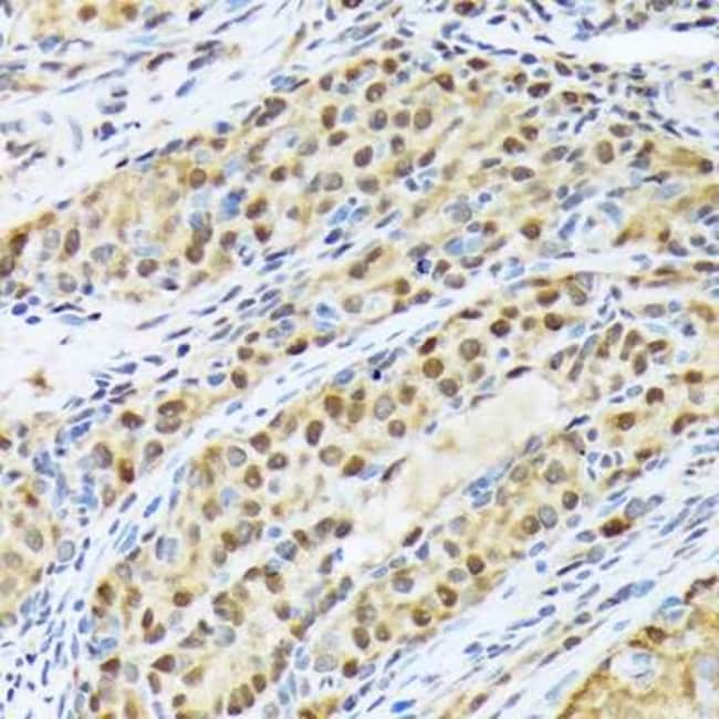
FKBP51/FKBP5 Monoclonal antibody specifically detects FKBP51/FKBP5 in Human, Mouse, Rat samples. It is validated for Western Blot, Immunohistochemistry, Immunohistochemistry (Paraffin)
TRUSTED_SUSTAINABILITY
Specifications

Specifications

FKBP51/FKBP5
Monoclonal
Unconjugated
PBS, 0.05% BSA, 50% glycerol, pH7.3
Rabbit
Affinity purified
RUO
Primary
Human, Mouse, Rat
Purified
Western Blot, Immunohistochemistry, Immunohistochemistry (Paraffin)
7W2R1
Western Blot, Immunohistochemistry 1:50 - 1:200, Immunohistochemistry-Paraffin
51 kDa FKBP, 54 kDa progesterone receptor-associated immunophilin, AIG6,51 kDa FK506-binding protein, Androgen-regulated protein 6, FF1 antigen, FK506 binding protein 5, FK506-binding protein 5, FKBP-5, FKBP-51, FKBP51PPIase FKBP5, FKBP54EC 5.2.1.8, HSP90-binding immunophilin, MGC111006, p54, P54,51 kDa FK506-binding protein 5, peptidylprolyl cis-trans isomerase, peptidyl-prolyl cis-trans isomerase FKBP5, PPIase, Ptg-10, rotamase, T-cell FK506-binding protein
A synthetic peptide corresponding to a sequence within amino acids 350-457 of human FKBP51/FKBP5 (Q13451).
20 μg
Cancer
2289
Store at -20°C. Avoid freeze-thaw cycles.
IgG
Product Suggestions

Product Suggestions

Videos
SDS
Documents

Documents

Certificates
Promotions

Promotions

Product Content Correction

Your input is important to us. Please complete this form to provide feedback related to the content on this product.

Product Title

By clicking Submit, you acknowledge that you may be contacted by Fisher Scientific in regards to the feedback you have provided in this form. We will not share your information for any other purposes. All contact information provided shall also be maintained in accordance with our Privacy Policy.

Thank You! Your feedback has been submitted. Fisher Scientific is always working to improve our content for you. We appreciate your feedback.