missing translation for 'onlineSavingsMsg'
Learn More
Learn More
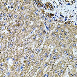
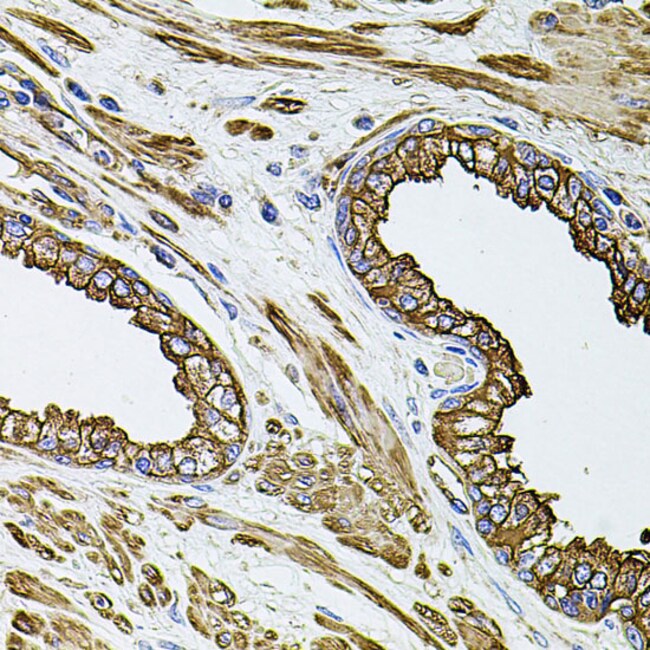
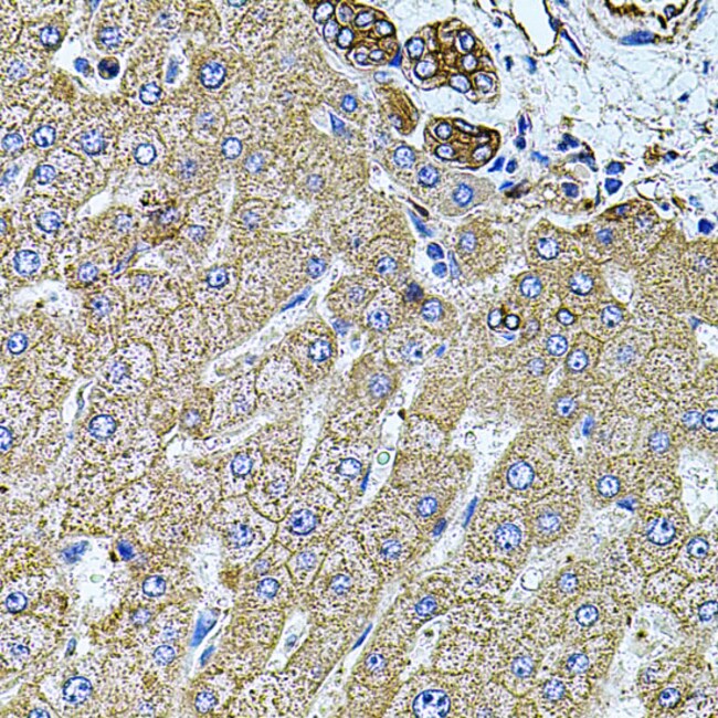
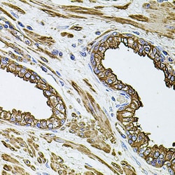
Invitrogen™ Filamin B Polyclonal Antibody

Rabbit Polyclonal Antibody
Brand: Invitrogen™ PA586946
This item is not returnable.
View return policy
Description
Purity is > 95% by SDS-PAGE.
FOXK1 is expressed in these cells and regulates cell cycle progression through an interaction with its downstream target the cyclin-dependent kinase inhibitor p21 (CIP). Loss of FOXK1 in mice results in growth retardation and a severe impairment in skeletal muscle regeneration following injury. FOXK1 also shows expression in immature tissues of brain, eye, heart, lung and thymus. It also is predominantly expressed in many malignant tissues, such as tumors of the brain, colon and lymph node.
Specifications
| Filamin B | |
| Polyclonal | |
| Unconjugated | |
| FLNB | |
| ABP-278; ABP-280; ABP-280 homolog; ABP-280-like protein; actin binding protein 278; actin-binding-like protein; AL024016; AOI; beta-filamin; Fh1; filamin B; filamin B, beta; filamin homolog 1; filamin, beta; filamin-3; FilaminB; Filamin-B; FLN1L; FLN3; FLNB; FLN-B; Larsen syndrome 1 (autosomal dominant); LRS1; SCT; TABP; TAP; thyroid autoantigen; Truncated ABP; Truncated actin-binding protein | |
| Rabbit | |
| Antigen Affinity Chromatography | |
| RUO | |
| 2317, 286940, 306204 | |
| Store at 4°C short term. For long term storage, store at -20°C, avoiding freeze/thaw cycles. | |
| Liquid |
| Immunohistochemistry (Paraffin), Western Blot, Immunocytochemistry | |
| 1 mg/mL | |
| PBS with 50% glycerol and 0.02% sodium azide; pH 7.2 | |
| O75369, Q80X90 | |
| FLNB | |
| Recombinant fusion protein of human FLNB. | |
| 100 μL | |
| Primary | |
| Human, Mouse, Rat | |
| Antibody | |
| IgG |
Product Content Correction
Your input is important to us. Please complete this form to provide feedback related to the content on this product.
Product Title
Spot an opportunity for improvement?Share a Content Correction