missing translation for 'onlineSavingsMsg'
Learn More

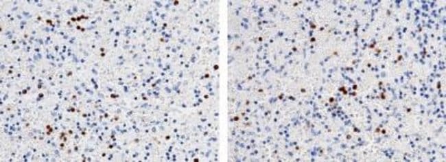
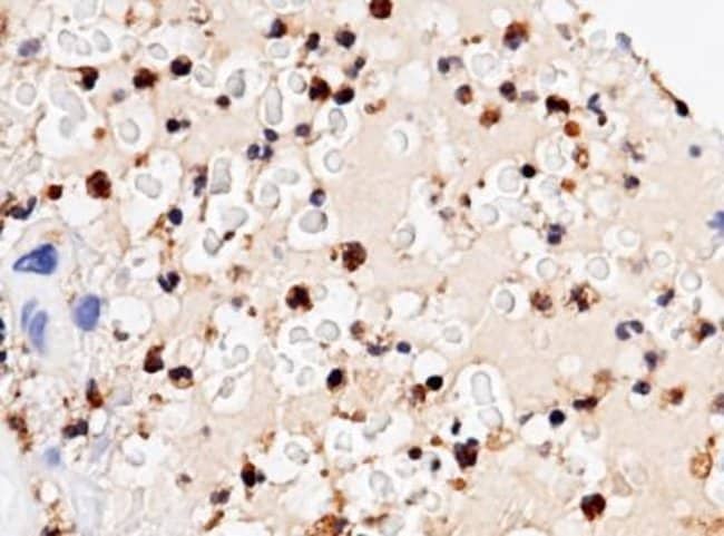
Ficolin-1 Rabbit anti-Human, Clone: 17, Novus Biologicals™

Rabbit Monoclonal Antibody

£286.00 - £429.00

Specifications

Antigen Ficolin-1
Clone 17
Dilution Immunohistochemistry, Immunohistochemistry-Paraffin 1:100-1:500
Applications Immunohistochemistry, Immunohistochemistry (Paraffin)
Classification Monoclonal
View More Specs

Products 2
Product Code Brand Quantity Price Quantity & Availability  
Product Code Brand Quantity Price Quantity & Availability  
18253806
View Documents
Novus Biologicals
NBP2-89714-50UL
50 μg
£286.00
50µL
View alternative products
Save Up to 
»
Please to purchase this item. Need a web account? Register with us today!
18275928
View Documents
Novus Biologicals
NBP2-89714-100UL
100 μg
£429.00
100µL
View alternative products
Save Up to 
»
Please to purchase this item. Need a web account? Register with us today!
Description

Description

Ficolin-1 Monoclonal specifically detects Ficolin-1 in Human samples. It is validated for Immunohistochemistry, Immunohistochemistry-Paraffin.
Specifications

Specifications

Ficolin-1
Immunohistochemistry, Immunohistochemistry-Paraffin 1:100-1:500
Monoclonal
Purified
RUO
0.2 um filtered solution in PBS
2219
IgG
Protein A purified
17
Immunohistochemistry, Immunohistochemistry (Paraffin)
Unconjugated
Rabbit
Human
Collagen/fibrinogen domain-containing protein 1, FCNMficolin-A, ficolin (collagen/fibrinogen domain containing) 1, ficolin (collagen/fibrinogen domain-containing) 1, ficolin-1, Ficolin-A, Ficolin-alpha, M-ficolin
Recombinant Human Ficolin-1 protein
Primary
Store at 4°C short term. Aliquot and store at -20°C long term. Avoid freeze-thaw cycles.
Videos
SDS
Documents

Documents

Product Certifications
Product Content Correction

Your input is important to us. Please complete this form to provide feedback related to the content on this product.

Product Title

By clicking Submit, you acknowledge that you may be contacted by Fisher Scientific in regards to the feedback you have provided in this form. We will not share your information for any other purposes. All contact information provided shall also be maintained in accordance with our Privacy Policy.

Thank You! Your feedback has been submitted. Fisher Scientific is always working to improve our content for you. We appreciate your feedback.