missing translation for 'onlineSavingsMsg'
Learn More

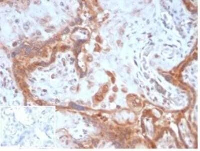
Fibroblast Activation Protein alpha/FAP Mouse anti-Human, Clone: FAP/4851, Novus Biologicals™

Product Code. 18349886 Shop All Bio Techne Products
Change view
Click to view available options
Quantity:
100 μg
20 μg
Unit Size:
100µg
20µg
2 product options available for selection
Product selection table with 2 available options. Use arrow keys to navigate and Enter or Space to select.
Product Code. Quantity unitSize
18349886 20 μg 20µg
18393046 100 μg 100µg
Use arrow keys to navigate between rows. Press Enter or Space to select a product option. 2 options available.
2 options
This item is not returnable. View return policy
Product Code. 18349886 Supplier Novus Biologicals Supplier No. NBP31388320UG

Please to purchase this item. Need a web account? Register with us today!

This item is not returnable. View return policy

Mouse Monoclonal Antibody

Fibroblast Activation Protein alpha/FAP Monoclonal antibody specifically detects Fibroblast Activation Protein alpha/FAP in Human samples. It is validated for Immunohistochemistry (Paraffin), Protein Array
TRUSTED_SUSTAINABILITY

Specifications

Antigen Fibroblast Activation Protein alpha/FAP
Applications Immunohistochemistry (Paraffin), Peptide Array
Classification Monoclonal
Clone FAP/4851
Concentration 0.2 mg/ml
Conjugate Unconjugated
Dilution Immunohistochemistry-Paraffin 1-2 ug/ml, Protein Array
Formulation 10 mM PBS with 0.05% BSA
Gene Accession No. Q12884
Gene Alias 170 kDa melanoma membrane-bound gelatinase, DKFZp686G13158, DPPIV, EC 3.4.21.-, FAPA, Fibroblast activation protein alpha, fibroblast activation protein, alpha, Integral membrane serine protease, seprase, vibronectin
Host Species Mouse
Immunogen Recombinant fragment (around aa 1-200) of human Fibroblast Activation Protein alpha/FAP protein (exact sequence is proprietary) (Uniprot: Q12884)
Purification Method Protein A or G purified
Quantity 20 μg
Regulatory Status RUO
Research Discipline Cancer, Protein Phosphatase
Primary or Secondary Primary
Gene ID (Entrez) 2191
Target Species Human
Content And Storage Store at 4°C.
Form Purified
Isotype IgG2c κ
Show More Show Less
Product Title
Select an issue

By clicking Submit, you acknowledge that you may be contacted by Fisher Scientific in regards to the feedback you have provided in this form. We will not share your information for any other purposes. All contact information provided shall also be maintained in accordance with our Privacy Policy.