missing translation for 'onlineSavingsMsg'
Learn More
Learn More
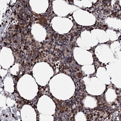
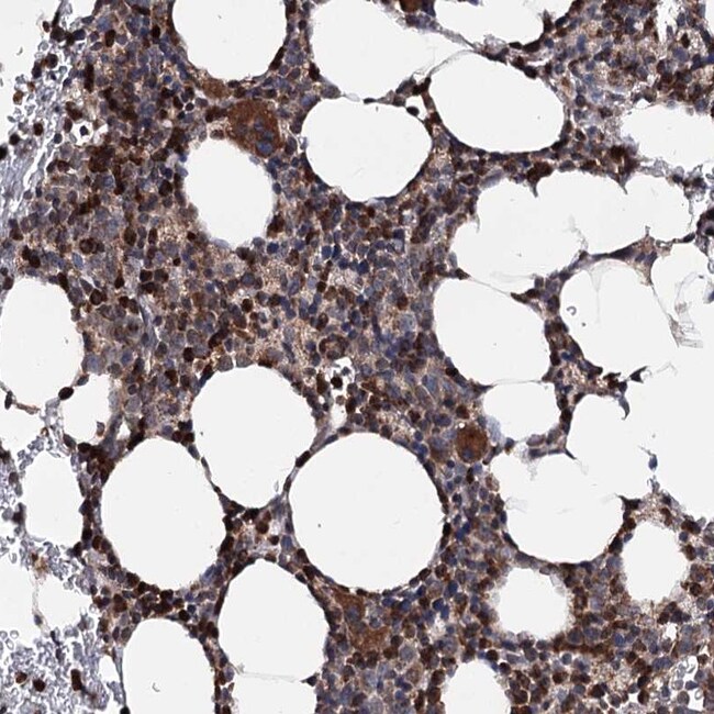
Invitrogen™ FGFR1OP2 Polyclonal Antibody

Rabbit Polyclonal Antibody
Brand: Invitrogen™ PA558500
This item is not returnable.
View return policy
Description
Immunogen sequence: ADAKALVERL RDHDDAAESL IEQTTALNKR VEAMKQYQEE IQELNEVARH RPRSTLVMGI QQENRQIREL QQENKELRTS LEEHQS Highest antigen sequence identity to the following orthologs: Mouse - 99%, Rat - 99%.
FGFR1OP2, also known as FGFR1 oncogene partner 2, is a gene that plays a crucial role in oncogenesis, particularly in myeloproliferative neoplasms. It is known to interact with the FGFR1 (Fibroblast Growth Factor Receptor 1) through chromosomal translocations that can lead to malignancies, such as the formation of the fusion protein FGFR1OP2-FGFR1 in KG-1a leukemic cells. FGFR1OP2 itself is a gene encoding a protein whose function is not entirely understood, but its association with FGFR1 highlights its potential role in oncogenic pathways. The FGFR1 component of the fusion is a receptor tyrosine kinase involved in various cellular processes like cell proliferation, migration, and differentiation. The disruption of these processes through abnormal expression or structural changes such as fusions can lead to uncontrolled cell growth and malignancies. FGFR1 is also frequently studied as a therapeutic target in cancer, given its importance in cellular signaling and cancer progression.
Specifications
| FGFR1OP2 | |
| Polyclonal | |
| Unconjugated | |
| FGFR1OP2 | |
| 1500031J01Rik; FGFR1 oncogene partner 2; FGFR1 oncogene partner 2 homolog; FGFR1OP2; fibroblast growth factor receptor 1 oncogene partner 2; HSPC123; HSPC123-like; Wit3.0; Wit3.0_alpha; Wit3.0_beta; wound inducible transcript 3.0; wound inducible transcript 3.0 protein; wound-inducible transcript 3.0 protein | |
| Rabbit | |
| Antigen affinity chromatography | |
| RUO | |
| 26127 | |
| Store at 4°C short term. For long term storage, store at -20°C, avoiding freeze/thaw cycles. | |
| Liquid |
| Immunohistochemistry (Paraffin), Western Blot, Immunocytochemistry | |
| 0.2 mg/mL | |
| PBS with 40% glycerol and 0.02% sodium azide; pH 7.2 | |
| Q9NVK5 | |
| FGFR1OP2 | |
| Recombinant protein corresponding to Human FGFR1OP2. Recombinant protein control fragment (Product #RP-97727). | |
| 100 μL | |
| Primary | |
| Human | |
| Antibody | |
| IgG |
Product Content Correction
Your input is important to us. Please complete this form to provide feedback related to the content on this product.
Product Title
Spot an opportunity for improvement?Share a Content Correction