missing translation for 'onlineSavingsMsg'
Learn More
Learn More
Invitrogen™ FGF2 Recombinant Rabbit Monoclonal Antibody (24GB4420)

Rabbit Recombinant Monoclonal Antibody
Brand: Invitrogen™ MA557400
This item is not returnable.
View return policy
Description
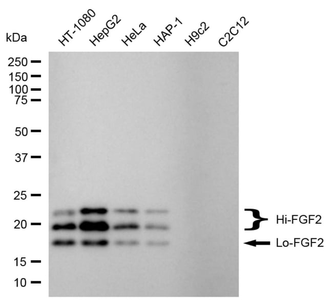
FGF2 Recombinant Monoclonal Antibody for Western Blot, Flow
FGF2 (FGFb, fibroblast growth factor basic) belongs to the fibroblast growth factor (FGF) family, and interacts with high-affinity transmembrane receptors to influence cell proliferation and tissue neovascularization. FGF2 exists as five isoforms with distinct intracellular localizations and functions. The 18 kDa isoform is predominantly cytosolic and acts through cell surface receptors, whereas the 22, 22.5, 24 and 34 kDa isoforms are nuclear and may signal independent of transmembrane receptor pathways. In humans, the gene is located on the q arm of chromosome 4. FGF2 has been implicated in diverse biological processes, such as limb and nervous system development, wound healing, and tumor growth. The mRNA for FGF2 contains multiple polyadenylation sites, and is alternatively translated from non-AUG and AUG initiation codons, resulting in five different isoforms with distinct properties. The CUG-initiated isoforms are localized in the nucleus and are responsible for the intracrine effect, whereas, the AUG-initiated form is mostly cytosolic and is responsible for the paracrine and autocrine effects of this FGF. Diseases associated with FGF2 dysfunction include Kaposi Sarcoma and corneal neovascularization.
Specifications
| FGF2 | |
| Recombinant Monoclonal | |
| Unconjugated | |
| FGF2 | |
| Basic fibroblast growth factor; basic fibroblast growth factor bFGF; bFGF; FGF; fgf basic; Fgf2; Fgf-2; Fgfb; FGF-b; Fibroblast growth factor; fibroblast growth factor 2; fibroblast growth factor 2 (basic); Fibroblast growth factor basic; HBGF-2; Heparin-binding growth factor 2; H-FGF-b-147; H-FGF-b-154; M-FGF-b; Prostatic growth factor; prostatropin | |
| Rabbit | |
| Affinity chromatography | |
| RUO | |
| 2247 | |
| -20°C | |
| Liquid |
| Flow Cytometry, Western Blot, Immunocytochemistry | |
| 24GB4420 | |
| PBS with 50% glycerol and 0.02% sodium azide; pH 7.4 | |
| P09038 | |
| FGF2 | |
| Recombinant protein of human FGF2 (aa 143-288). | |
| 100 μL | |
| Primary | |
| Human | |
| Antibody | |
| IgG |
Product Content Correction
Your input is important to us. Please complete this form to provide feedback related to the content on this product.
Product Title
Spot an opportunity for improvement?Share a Content Correction