missing translation for 'onlineSavingsMsg'
Learn More
Learn More
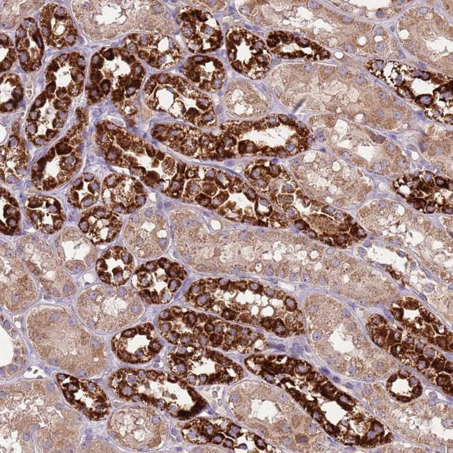
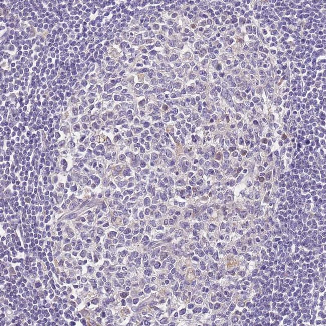
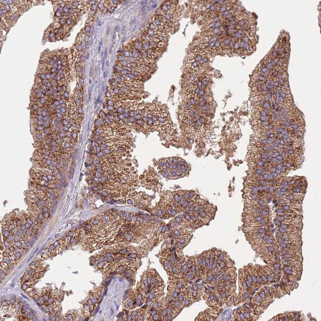
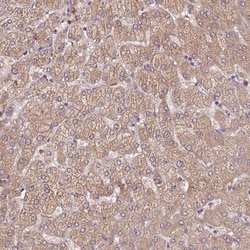
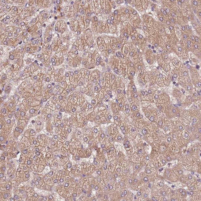
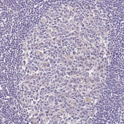
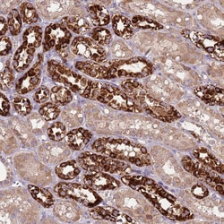
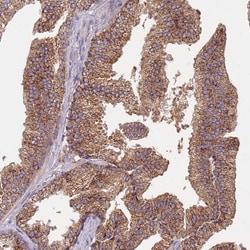
Invitrogen™ FECH Polyclonal Antibody

Rabbit Polyclonal Antibody
Brand: Invitrogen™ PA560611
This item is not returnable.
View return policy
Description
Immunogen sequence: ILLVPIAFTS DHIETLYELD IEYSQVLAKE CGVENIRRAE SLNGNPLFSK ALADLVHSHI QSNELCSKQL TLSCPLCVNP VCRETKSFFT SQQ Highest antigen sequence identity to the following orthologs: Mouse - 91%, Rat - 92%.
The protein encoded by this gene is localized to the mitochondrion, where it catalyzes the insertion of the ferrous form of iron into protoporphyrin IX in the heme synthesis pathway. Mutations in this gene are associated with erythropoietic protoporphyria. Two transcript variants encoding different isoforms have been found for this gene. A pseudogene of this gene is found on chromosome 3.
Specifications
| FECH | |
| Polyclonal | |
| Unconjugated | |
| FECH | |
| AI894116; EPP; FCE; fch; Fcl; FECH; ferrochelatase; ferrochelatase, mitochondrial; Heme synthase; heme synthetase; protoheme ferro-lyase; protoporphyria | |
| Rabbit | |
| Antigen affinity chromatography | |
| RUO | |
| 2235 | |
| Store at 4°C short term. For long term storage, store at -20°C, avoiding freeze/thaw cycles. | |
| Liquid |
| Immunohistochemistry (Paraffin), Western Blot | |
| 0.1 mg/mL | |
| PBS with 40% glycerol and 0.02% sodium azide; pH 7.2 | |
| P22830 | |
| FECH | |
| Recombinant protein corresponding to Human FECH. Recombinant protein control fragment (Product #RP-98225). | |
| 100 μL | |
| Primary | |
| Human | |
| Antibody | |
| IgG |
Product Content Correction
Your input is important to us. Please complete this form to provide feedback related to the content on this product.
Product Title
Spot an opportunity for improvement?Share a Content Correction