missing translation for 'onlineSavingsMsg'
Learn More

Fbx32 Rabbit anti-Mouse, Rat, Clone: 1F10Z5, Novus Biologicals™

Product Code. 18352345 Shop All Bio Techne Products
Change view
Click to view available options
Quantity:
100 μg
20 μg
Unit Size:
100µL
20µL
2 product options available for selection
Product selection table with 2 available options. Use arrow keys to navigate and Enter or Space to select.
Product Code. Quantity unitSize
18352345 100 μg 100µL
18321847 20 μg 20µL
Use arrow keys to navigate between rows. Press Enter or Space to select a product option. 2 options available.
2 options
This item is not returnable. View return policy
Product Code. 18352345 Supplier Novus Biologicals Supplier No. NBP316255100UL

Please to purchase this item. Need a web account? Register with us today!

This item is not returnable. View return policy

Rabbit Monoclonal Antibody

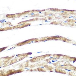
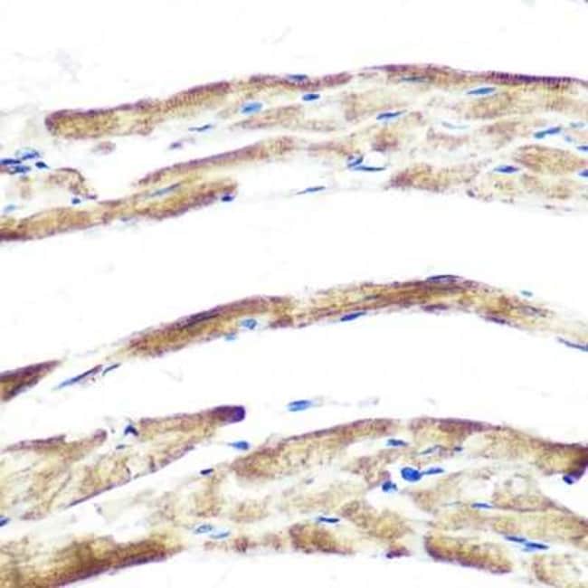
Fbx32 Monoclonal antibody specifically detects Fbx32 in Mouse, Rat samples. It is validated for Western Blot, Immunohistochemistry, Immunohistochemistry (Paraffin)
TRUSTED_SUSTAINABILITY

Specifications

Antigen Fbx32
Applications Western Blot, Immunohistochemistry, Immunohistochemistry (Paraffin)
Classification Monoclonal
Clone 1F10Z5
Conjugate Unconjugated
Dilution Western Blot 1:500 - 1:2000, Immunohistochemistry 1:50 - 1:200, Immunohistochemistry-Paraffin
Formulation PBS, 0.05% BSA, 50% glycerol, pH7.3
Gene Alias atrogin 1, atrogin-1, ATROGIN1, F-box only protein 32, F-box protein 32, Fbx32, FLJ32424, MAFBX, MAFbxMGC33610, Muscle atrophy F-box protein
Host Species Rabbit
Immunogen Recombinant fusion protein containing a sequence corresponding to amino acids 1-120 of human Fbx32 (Q969P5). MPFLGQDWRSPGQNWVKTADGWKRFLDEKSGSFVSDLSSYCNKEVYNKENLFNSLNYDVAAKKRKKDMLNSKTKTQYFHQEKWIYVHKGSTKERHGYCTLGEAFNRLDFSTAILDSRRFN
Purification Method Affinity purified
Quantity 100 μg
Regulatory Status RUO
Research Discipline Cardiovascular Biology, Cell Biology, Stem Cells
Primary or Secondary Primary
Gene ID (Entrez) 114907
Target Species Mouse, Rat
Content And Storage Store at -20°C. Avoid freeze-thaw cycles.
Form Purified
Isotype IgG
Show More Show Less
Product Title
Select an issue

By clicking Submit, you acknowledge that you may be contacted by Fisher Scientific in regards to the feedback you have provided in this form. We will not share your information for any other purposes. All contact information provided shall also be maintained in accordance with our Privacy Policy.