missing translation for 'onlineSavingsMsg'
Learn More

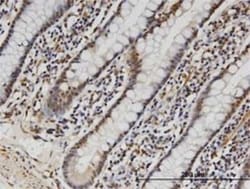
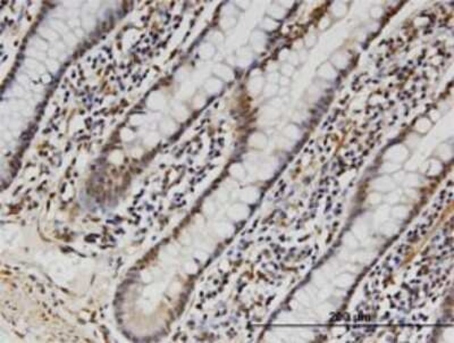
FAM3B Antibody (1E7), Novus Biologicals™

Product Code. 18391109 Shop All Bio Techne Products
Change view
Click to view available options
Quantity:
0.1 mg
Unit Size:
0.01mg
1 product options available for selection
Product selection table with 1 available options. Use arrow keys to navigate and Enter or Space to select.
Product Code. Quantity unitSize
18391109 0.1 mg 0.01mg
Use arrow keys to navigate between rows. Press Enter or Space to select a product option. 1 options available.
1 options
This item is not returnable. View return policy
Product Code. 18391109 Supplier Novus Biologicals Supplier No. H00054097M07

Please to purchase this item. Need a web account? Register with us today!

This item is not returnable. View return policy

Mouse Monoclonal Antibody

FAM3B Monoclonal antibody specifically detects FAM3B in Human samples. It is validated for Western Blot, ELISA, Immunohistochemistry, Immunoprecipitation, Immunohistochemistry (Paraffin)
TRUSTED_SUSTAINABILITY

Specifications

Antigen FAM3B
Applications Western Blot, ELISA, Immunohistochemistry, Immunoprecipitation, Immunohistochemistry (Paraffin)
Classification Monoclonal
Clone 1E7
Conjugate Unconjugated
Dilution Western Blot 1:500, ELISA, Immunohistochemistry, Immunoprecipitation, Immunohistochemistry-Paraffin
Formulation In 1x PBS, pH 7.4
Gene Accession No. AAH57829
Gene Alias 2-21, C21orf11, C21orf76PANDER, chromosome 21 open reading frame 11, Cytokine-like protein 2-21, D21M16SJHU19e, family with sequence similarity 3, member B, ORF9, pancreatic derived factor, Pancreatic-derived factor, PRED44
Host Species Mouse
Immunogen FAM3B (AAH57829.1, 1 a.a. ~ 235 a.a) full-length recombinant protein with GST tag. MW of the GST tag alone is 26 KDa. MRPLAGGLLKVVFVVFASLCAWYSGYLLAELIPDAPLSSAAYSIRSIGERPVLKAPVPKRQKCDHWTPCPSDTYAYRLLSGGGRSKYAKICFEDNLLMGEQLGNVARGINIAIVNYVTGNVTATRCFDMYEGDNSGPMTKFIQSAAPKSLLFMVTYDDGSTRLNNDAKNAIEALGSKEIRNMKFRSSWVFIAAKGLELPSEIQREKINHSDAKNNRYSGWPAEIQIEGCIPKERS
Purification Method IgG purified
Quantity 0.1 mg
Regulatory Status RUO
Research Discipline Cytokine Research
Primary or Secondary Primary
Gene ID (Entrez) 54097
Target Species Human
Content And Storage Aliquot and store at -20°C or -80°C. Avoid freeze-thaw cycles.
Form Purified
Isotype IgG1 κ
Show More Show Less
Product Title
Select an issue

By clicking Submit, you acknowledge that you may be contacted by Fisher Scientific in regards to the feedback you have provided in this form. We will not share your information for any other purposes. All contact information provided shall also be maintained in accordance with our Privacy Policy.