Learn More
Invitrogen™ FAK Polyclonal Antibody

Rabbit Polyclonal Antibody
Brand: Invitrogen™ PA588093
Description
Immunogen sequence: QHMVQTNHYQ VSGYPGSHGI TAMAGSIYPG QASLLDQTDS WNHRPQEIAM WQPNVEDSTV LDLRGIGQVL PTHLMEERLI RQQQEMEEDQ RWLEKEERFL K Positive Samples: Jurkat, U-87MG, HeLa; Cellular Location: Cell junction, Cell membrane, Cytoplasm, Cytoplasmic side, Nucleus, Peripheral membrane protein, cell cortex, centrosome, cytoskeleton, focal adhesion, microtubule organizing center.
Focal Adhesion Kinase (FAK) is a 125 kDa non-receptor protein tyrosine kinase that acts as a substrate for Src and is a key element of integrin signaling. FAK plays an important role in cell spreading, differentiation, migration, cell death, and acceleration of the G1 to S phase transition of the cell cycle. FAK has a central catalytic domain and a C-terminal tail that localizes it to focal adhesions, which are sites where cells attach to the extracellular matrix via surface integrin receptors. Increased FAK tyrosine phosphorylation occurs upon integrin engagement with fibronectin. Adhesion of murine NIH3T3 fibroblasts to fibronectin promotes association of the Grb2 adapter protein and c-Src PTK with FAK in vivo, and also results in activation of the ERK2 MAP kinase. In v-Src-transformed NIH3T3, the association of v-Src, Grb2, and Sos with FAK is independent of cell adhesion to fibronectin. In vitro the Grb2 SH2 domain binds directly to tyrosine-phosphorylated FAK, and the binding site has been identified as Tyr925 by site directed mutagenesis. Several transcript variants encoding different isoforms have been found for the FAK gene, but the full-length natures of only three of them have been determined.
Specifications
| FAK | |
| Polyclonal | |
| Unconjugated | |
| PTK2 | |
| CG10023; CG10023-PA; CG10023-PB; CG10023-PC; CG10023-PD; CG10023-PF; CG10023-PG; CT28129; DFAK; DFak56; Dmel\CG10023; Dmel_CG10023; DmFAK; EC 2.7.10.2; Fadk; FADK 1; Fak; Fak1; Fak56; fak56D; FAK65D; Fak-PA; Fak-PB; Fak-PC; Fak-PD; Fak-PF; Fak-PG; FAK-related non-kinase polypeptide; focal adhesion kinase; Focal adhesion kinase 1; focal adhesion kinase homolog; focal adhesion kinase isoform FAK-Del33; focal adhesion kinase pp125FAK; focal adhesion kinase-related nonkinase; focal ashension kinase 1; FRNK; I79_019430; Kiaa4203; mKIAA4203; p125FAK; p41/p43FRNK; pFAK; pp125 PTK2; pp125FAK; PPP1R71; Protein phosphatase 1 regulatory subunit 71; protein phosphatase 1, regulatory subunit 71; protein tyrosine kinase 2; protein tyrosine kinase 2 L homeolog; protein-tyrosine kinase; protein-tyrosine kinase 2; PTK2; PTK2 protein tyrosine kinase 2; ptk2.L; tyrosine kinase; XELAEV_18032408mg; XPFAK | |
| Rabbit | |
| Affinity Chromatography | |
| RUO | |
| 14083, 25614, 5747 | |
| -20°C, Avoid Freeze/Thaw Cycles | |
| Liquid |
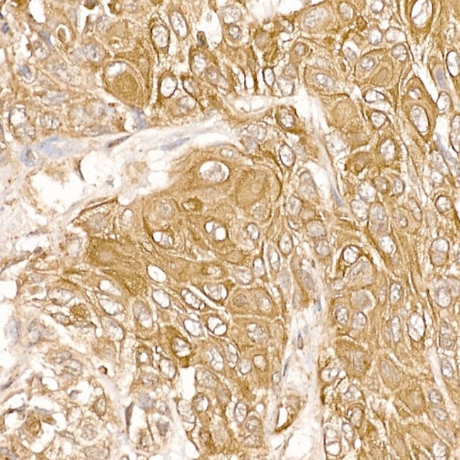
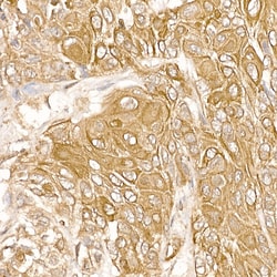
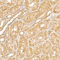
| ELISA, Immunohistochemistry (Paraffin), Immunoprecipitation, Western Blot, Immunocytochemistry | |
| 1.39 mg/mL | |
| PBS with 50% glycerol and 0.09% sodium azide; pH 7.3 | |
| O35346, P34152, Q05397 | |
| PTK2 | |
| Recombinant protein (or fragment). | |
| 100 μL | |
| Primary | |
| Human, Mouse, Rat | |
| Antibody | |
| IgG |
Your input is important to us. Please complete this form to provide feedback related to the content on this product.