missing translation for 'onlineSavingsMsg'
Learn More
Learn More
FABP1/L-FABP Mouse anti-Human, Clone: FABP1/3482, Novus Biologicals™
Mouse Monoclonal Antibody
Brand: Novus Biologicals NBP3-07189-100ug
This item is not returnable.
View return policy
Description
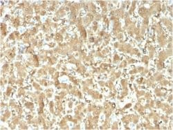
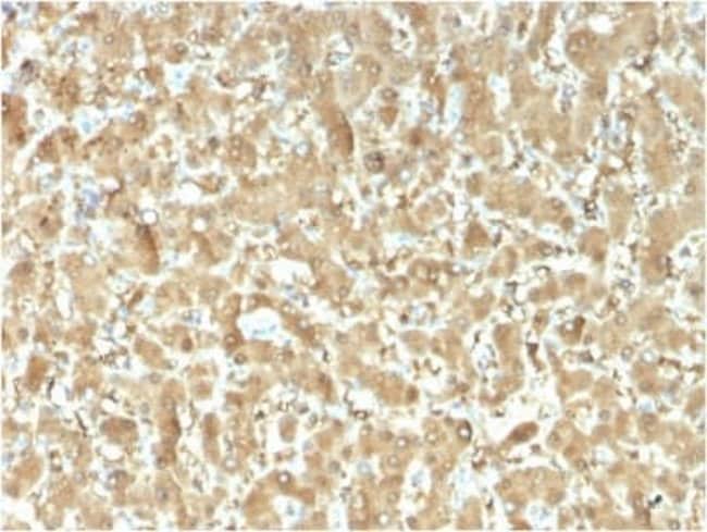
FABP1/L-FABP Monoclonal specifically detects FABP1/L-FABP in Human samples. It is validated for Western Blot, Immunohistochemistry-Paraffin, Protein Array.
Specifications
| FABP1/L-FABP | |
| Monoclonal | |
| 0.2 mg/mL | |
| Western Blot 1 to 2 μg/mL, Immunohistochemistry-Paraffin 1 to 2 μg/mL, Protein Array | |
| FABPL, fatty acid binding protein 1, liver, fatty acid-binding protein, liver, L-FABPFatty acid-binding protein 1, Liver-type fatty acid-binding protein | |
| Human recombinant FABP1/L-FABP protein fragment (around aa1-127) (exact sequence is proprietary) | |
| 100 μg | |
| Breast Cancer, Cancer, Cholesterol Metabolism, Diabetes Research, Lipid and Metabolism | |
| 2168 | |
| Store at 4°C. | |
| IgG2b κ |
| Western Blot, Immunohistochemistry (Paraffin), Peptide Array | |
| FABP1/3482 | |
| Unconjugated | |
| 10 mM PBS with 0.05% BSA | |
| Mouse | |
| Protein A or G purified | |
| RUO | |
| Primary | |
| Human | |
| Purified |
Product Content Correction
Your input is important to us. Please complete this form to provide feedback related to the content on this product.
Product Title
Spot an opportunity for improvement?Share a Content Correction