missing translation for 'onlineSavingsMsg'
Learn More

ERK5/BMK1 Rabbit anti-Human, Polyclonal, Novus Biologicals™

Product Code. 18384985 Shop All Bio Techne Products
Change view
Click to view available options
Quantity:
100 μg
Unit Size:
100µL
1 product options available for selection
Product selection table with 1 available options. Use arrow keys to navigate and Enter or Space to select.
Product Code. Quantity unitSize
18384985 100 μg 100µL
Use arrow keys to navigate between rows. Press Enter or Space to select a product option. 1 options available.
1 options
This item is not returnable. View return policy
Product Code. 18384985 Supplier Novus Biologicals Supplier No. NBP310647100UL

Please to purchase this item. Need a web account? Register with us today!

This item is not returnable. View return policy

Rabbit Polyclonal Antibody

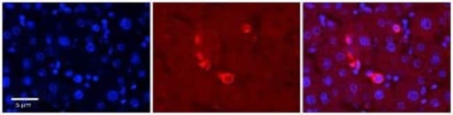
ERK5/BMK1 Polyclonal specifically detects ERK5/BMK1 in Human samples. It is validated for Western Blot, Immunohistochemistry, Immunohistochemistry-Paraffin.
TRUSTED_SUSTAINABILITY

Specifications

Antigen ERK5/BMK1
Applications Western Blot, Immunohistochemistry, Immunohistochemistry (Paraffin)
Classification Polyclonal
Conjugate Unconjugated
Dilution Western Blot 1.0 ug/ml, Immunohistochemistry, Immunohistochemistry-Paraffin
Formulation PBS buffer, 2% sucrose
Gene Alias Big MAP kinase 1, BMK-1, BMK1 kinase, BMK1EC 2.7.11.24, EC 2.7.11, ERK-5, ERK5MAPK 7, Extracellular signal-regulated kinase 5, extracellular-signal-regulated kinase 5, MAP kinase 7, mitogen-activated protein kinase 7, PRKM7ERK4
Host Species Rabbit
Immunogen The immunogen is a synthetic peptide directed towards the middle region of human ERK5/BMK1 (NP_620603). Peptide sequence FDMGVADGPQDGQADSASLSASLLADWLEGHGMNPADIESLQREIQMDSP
Purification Method Affinity purified
Quantity 100 μg
Regulatory Status RUO
Research Discipline Cell Cycle and Replication, Phospho Specific, Signal Transduction
Primary or Secondary Primary
Gene ID (Entrez) 5598
Target Species Human
Content And Storage Store at 4°C short term. Aliquot and store at -20°C long term. Avoid freeze-thaw cycles.
Form Purified
Show More Show Less
Product Title
Select an issue

By clicking Submit, you acknowledge that you may be contacted by Fisher Scientific in regards to the feedback you have provided in this form. We will not share your information for any other purposes. All contact information provided shall also be maintained in accordance with our Privacy Policy.