missing translation for 'onlineSavingsMsg'
Learn More
Learn More
Invitrogen™ ERK1 Recombinant Rabbit Monoclonal Antibody (SP00-74)

Rabbit Recombinant Monoclonal Antibody
Brand: Invitrogen™ MA541104
This item is not returnable.
View return policy
Description
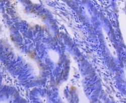
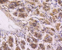
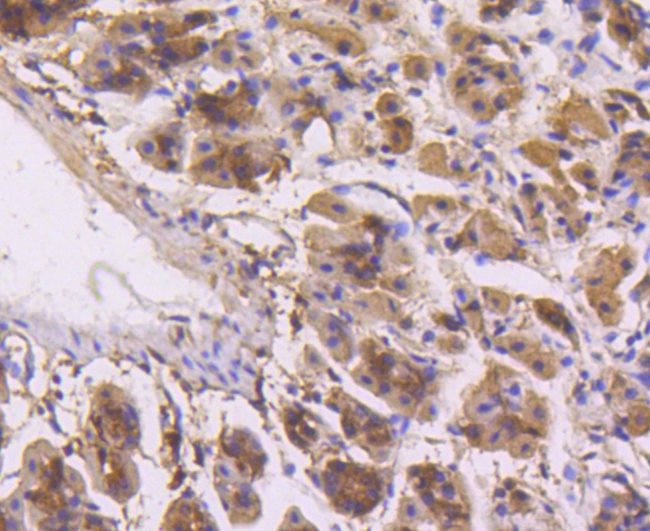
ERK1 Recombinant Monoclonal Antibody for Western Blot, ICC/IF, IHC (P), Flow
MAPK3 (ERK1) is a serine/threonine kinase that is an important activator of p90, RSK, MSK, ELK1, and Stat3, and is involved in the MAPK pathway. ERK1 is widely expressed and involved in the regulation of meiosis, mitosis, and post-mitotic functions in differentiated cells. Many different stimuli, including growth factors, cytokines, virus infection, ligands for heterotrimeric guanine nucleotide-binding protein (G protein)-coupled receptors and transforming agents, activate the ERK1 and ERK2 pathways. Functionally, ERK1 is involved with a signaling cascade that regulates various cellular processes such as proliferation, differentiation, and cell cycle progression in response to a variety of extracellular signals. ERK1 is activated by upstream kinases, resulting in its translocation to the nucleus where it phosphorylates nuclear targets. Alternatively spliced transcript variants encoding different protein isoforms of ERK1 have been described.
Specifications
| ERK1 | |
| Recombinant Monoclonal | |
| 1 mg/mL | |
| TBS with 0.05% BSA, 40% glycerol and 0.05% sodium azide; pH 7.4 | |
| P27361, Q63844 | |
| MAPK3 | |
| recombinant protein. | |
| 100 μL | |
| Primary | |
| Human, Mouse | |
| Antibody | |
| IgG |
| Flow Cytometry, Immunohistochemistry (Paraffin), Western Blot, Immunocytochemistry | |
| SP00-74 | |
| Unconjugated | |
| MAPK3 | |
| ERK; Erk1; ERK-1; Ert2; Esrk1; Extracellular signal-regulated kinase 1; extracellular signal-related kinase 1; HS44KDAP; HUMKER1A; Insulin-stimulated MAP2 kinase; MAP kinase 1; MAP kinase 3; MAP kinase isoform p44; MAP kinase2; MAPK 1; MAPK 3; MAPK1; MAPK2; MAPK3; Microtubule-associated protein 2 kinase; mitogen activated protein kinase 3; mitogen-activated 3; mitogen-activated protein kinase 1; mitogen-activated protein kinase 3; MNK1; Mtap2k; p44; p44 MAP kinase; P44ERK1; p44-ERK1; P44MAPK; p44-MAPK; pp42/MAP kinase; PRKM3 | |
| Rabbit | |
| Protein A | |
| RUO | |
| 26417, 5595 | |
| Store at 4°C short term. For long term storage, store at -20°C, avoiding freeze/thaw cycles. | |
| Liquid |
Product Content Correction
Your input is important to us. Please complete this form to provide feedback related to the content on this product.
Product Title
Spot an opportunity for improvement?Share a Content Correction