missing translation for 'onlineSavingsMsg'
Learn More
Learn More
Invitrogen™ ERGIC3 Polyclonal Antibody

Rabbit Polyclonal Antibody
Brand: Invitrogen™ PA5109263
This item is not returnable.
View return policy
Description
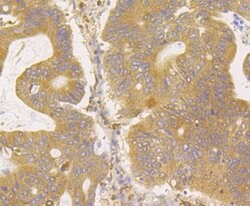
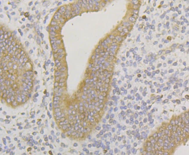
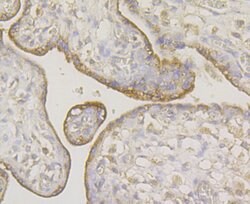
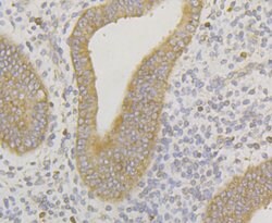
Positive Control: Siha, human placenta tissue, rat bone marrow tissue, LOVO, human colon cancer tissue, human uterus tissue, mouse brain tissue.
ERGIC3 is possible role in transport between endoplasmic reticulum and Golgi.
Specifications
| ERGIC3 | |
| Polyclonal | |
| Unconjugated | |
| ERGIC3 | |
| 2310015B14Rik; AV318804; C20orf47; CGI-54; D2Ucla1; dJ477O4.2; Endoplasmic reticulum-Golgi intermediate compartment protein 3; endoplasmic reticulum-localized protein ERp43; ERGIC and golgi 3; ERGIC3; ERV46; NY-BR-84; PRO0989; Sdbcag84; serologically defined breast cancer antigen 84; serologically defined breast cancer antigen NY-BR-84; Serologically defined breast cancer antigen NY-BR-84 homolog | |
| Rabbit | |
| Antigen affinity chromatography | |
| RUO | |
| 51614 | |
| -20°C, Avoid Freeze/Thaw Cycles, store in dark | |
| Liquid |
| Flow Cytometry, Immunohistochemistry (Paraffin), Western Blot, Immunocytochemistry | |
| 1 mg/mL | |
| PBS with 0.2% BSA, 50% glycerol and 0.05% sodium azide; pH 7.4 | |
| Q9Y282 | |
| ERGIC3 | |
| Synthetic peptide within Human ERGI3 aa 334-383. | |
| 100 μL | |
| Primary | |
| Human | |
| Antibody | |
| IgG |
Product Content Correction
Your input is important to us. Please complete this form to provide feedback related to the content on this product.
Product Title
Spot an opportunity for improvement?Share a Content Correction