Learn More
Invitrogen™ ErbB4 (Her4) Monoclonal Antibody (HFR1), Biotin, eBioscience™

Mouse Monoclonal Antibody
Brand: Invitrogen™ 13-9687-82
Description
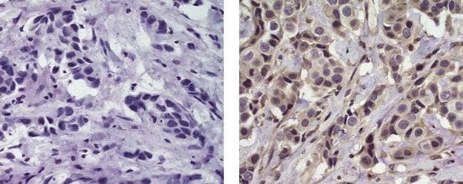
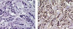
Description: The monoclonal antibody HFR1 recognizes human and mouse epidermal growth factor receptor 4 (ErbB4 or HER4). ErbB4 belongs to the family of receptor tyrosine kinases (RTK) of which HER1 (EGRF), HER2 (ErbB2), and HER3 (ErbB3) are members. RTKs function to affect a variety of cell processes including proliferation, differentiation, migration, survival and apoptosis and are often disregulated in cancer. The ErbB4 protein contains extracellular ligand binding domains, a transmembrane region, and a cytoplasmic tail containing the tyrosine kinase domain and the binding site for the HFR1 antibody. Upon ligand binding, ErbB4 homo- or hetero-dimerizes with other family members, becomes phosphorylated, and can be cleaved allowing translocation to the nucleus. The HRF1 antibody recognizes membrane-bound, cytoplasmic and nuclear ErbB4. Cytosolic ErbB4 expression was found to correlate with a positive prognosis in a subset of breast cancer patients, while nuclear ErbB4 expression was inversely correlated with tumor grade and aggressiveness of breast tumors. Applications Reported: This HFR1 antibody has been reported for use in immunoprecipitation, western blotting, immunohistochemical staining of formalin-fixed paraffin embedded tissue sections, and immunocytochemistry. Applications Tested: This HFR1 antibody has been tested by immunohistochemistry on formalin-fixed paraffin embedded human tissue using low pH antigen retrieval at less than or equal to 20 μg/mL. It is rec...
Oncogene ERBB4 (HER4) is a member of the type I receptor protein tyrosine subfamily that includes EGFR, ERBB2, and ERBB3. ERBB4 binds and is activated by neuregulins and other factors and induces a variety of cellular responses including mitogenesis and differentiation. ErbB 4 is activated by neuregulins and NTAK (neural and thymus derived activator for ErbB kinases). ErbB 4 is a receptor for heregulin and is capable of mediating HGL-stimulated tyrosine phosphorylation of itself. Like other protein kinases, ErbB 4 mediate most of the signal transduction in eukaryotic cells, regulating cellular metabolism, transcription, cell cycle progression, cytoskeletal rearrangement and cell movement, apoptosis, and differentiation. ErbB 4 is most predominantly expressed in several breast carcinoma cell lines, and in normal skeletal muscle, heart, pituitary, brain, and cerebellum. Breast tumor cell lines T47-D, MDA-MB-453, BT-474 and H3396 are found to have the highest levels of mRNA, and intermediate levels are seen in MCF-7, MDAMB-330 and MDA-MB-361. Expression of ErbB 4 is low or absent in some breast tumor cell lines such as MDA-MB-231, MDA-MB-157, MDA-MB-468, and SKBR-3. ErbB 4 levels have been found to be elevated in certain human tumor cell lines suggesting that it may play a role in some malignancies.
Specifications
| ErbB4 (Her4) | |
| Monoclonal | |
| 0.5 mg/mL | |
| PBS with 0.09% sodium azide; pH 7.2 | |
| Q15303, Q61527 | |
| ERBB4 | |
| Affinity Chromatography | |
| RUO | |
| 13869, 2066 | |
| 4°C, store in dark, DO NOT FREEZE! | |
| Liquid |
| Immunohistochemistry (Paraffin), Immunoprecipitation, Western Blot, Immunocytochemistry | |
| HFR1 | |
| Biotin | |
| ERBB4 | |
| 4ICD; ALS19; avian erythroblastic leukemia viral (v-erb-b2) oncogene homolog 4; avian erythroblastosis oncogene B 4; c-erbB-4; erb-b2 receptor tyrosine kinase 4; Erbb4; ERBB4 intracellular domain; ERBB4 transcript variant I12DEL; ERBB4 transcript variant I20DEL; Her4; human epidermal growth factor receptor 4; Mer4; OTTHUMP00000209432; p180erbB4; proto-oncogene-like protein c-ErbB-4; receptor tyrosine kinase; receptor tyrosine-protein kinase erbB-4; s80HER4; Tyro-2; Tyrosine kinase-type cell surface receptor HER4; v-erb-a erythroblastic leukemia viral oncogene homolog 4; v-erb-a erythroblastic leukemia viral oncogene homolog 4 (avian); v-erb-b2 avian erythroblastic leukemia viral oncogene 4; v-erb-b2 avian erythroblastic leukemia viral oncogene homolog 4 | |
| Mouse | |
| 100 μg | |
| Primary | |
| Human, Mouse | |
| Antibody | |
| IgG2b κ |
Your input is important to us. Please complete this form to provide feedback related to the content on this product.