missing translation for 'onlineSavingsMsg'
Learn More

Invitrogen™ ENO1 Monoclonal Antibody (C2), Invitrogen™

Mouse Monoclonal Antibody

Brand:  Invitrogen™ MA550922

 View more versions of this product

Product Code. 17990633

  • £161.00 / 20µL

Please to purchase this item. Need a web account? Register with us today!

This item is not returnable. View return policy

Description

Description

Enolase (2-phosphogly-cerate hydrolyase or phosphopyruvate hydrates) is a glycolytic enzyme that catalyzes the dehydration and conversion of 2-phosphoglycerate to phosphoenolpyruvate. It comprises three distinct subunits, alpha, beta and gamma. Non Neuronal Enolase(ENO1) is an isoform of mammalian enolase and is composed of 2 alpha subunits. The gene for ENO1 also encodes a shorter monomeric structural lens protein, tau-crystallin. Multifunctional enzyme that, as well as its role in glycolysis, plays a part in various processes such as growth control, hypoxia tolerance and allergic responses. May also function in the intravascular and pericellular fibrinolytic system due to its ability to serve as a receptor and activator of plasminogen on the cell surface of several cell-types such as leukocytes and neurons. Stimulates immunoglobulin production.Used as a diagnostic marker for many tumors and, in the heterodimeric form, alpha/gamma, as a marker for hypoxic brain injury after cardiac arrest. Also marker for endometriosis. Antibodies against alpha-enolase are present in sera from patients with cancer-associated retinopathy syndrome (CAR), a progressive blinding disease which occurs in the presence of systemic tumor growth, primarily small-cell carcinoma of the lung and other malignancies. Is identified as an autoantigen in Hashimoto encephalopathy (HE) a rare autoimmune disease associated with Hashimoto thyroiditis (HT). HT is a disorder in which destructive processes overcome the potential capacity of thyroid replacement leading to hypothyroidism.
TRUSTED_SUSTAINABILITY
Specifications

Specifications

ENO1
Monoclonal
1 mg/mL
PBS with 50% glycerol and 0.05% Proclin 300; pH 7.4
P04764, P06733, Q9XSJ4
ENO1
Recombinant Human ENO1 protein, Met1-Lys434 (Accession #P06733).
20 μL
Primary
Bovine, Human, Pig, Rat
Antibody
IgG1 κ
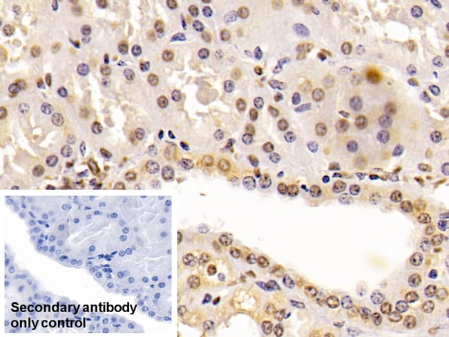
Immunohistochemistry (Paraffin), Western Blot, Western Blot
C2
Unconjugated
ENO1
0610008I15; 2-phospho-D-glycerate hydrolase; 2-phospho-D-glycerate hydro-lyase; AL022784; alpha enolase; alpha enolase like 1; alpha-enolase; alpha-enolase; c-myc promoter-binding protein-1; c-Myc promoter binding protein; C-myc promoter-binding protein; Eno1; Eno-1; ENO1L1; enoa; Enolase 1; enolase 1, (alpha); enolase 1, alpha non-neuron; enolase-alpha; epididymis secretory protein Li 17; HEL-S-17; MBP-1; MBPB1; MPB1; MPB-1; MYC promoter-binding protein 1; NNE; Non-neural enolase; phosphopyruvate hydratase; Plasminogen-binding protein; PPH; tau-crystallin
Mouse
Protein A/G
RUO
100738870, 2023, 24333, 281141
Store at 4°C short term. For long term storage, store at -20°C, avoiding freeze/thaw cycles.
Liquid
Product Suggestions

Product Suggestions

Videos
SDS
Documents

Documents

Certificates
Promotions

Promotions

Product Content Correction

Your input is important to us. Please complete this form to provide feedback related to the content on this product.

Product Title

By clicking Submit, you acknowledge that you may be contacted by Fisher Scientific in regards to the feedback you have provided in this form. We will not share your information for any other purposes. All contact information provided shall also be maintained in accordance with our Privacy Policy.

Thank You! Your feedback has been submitted. Fisher Scientific is always working to improve our content for you. We appreciate your feedback.