missing translation for 'onlineSavingsMsg'
Learn More

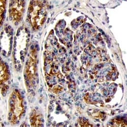
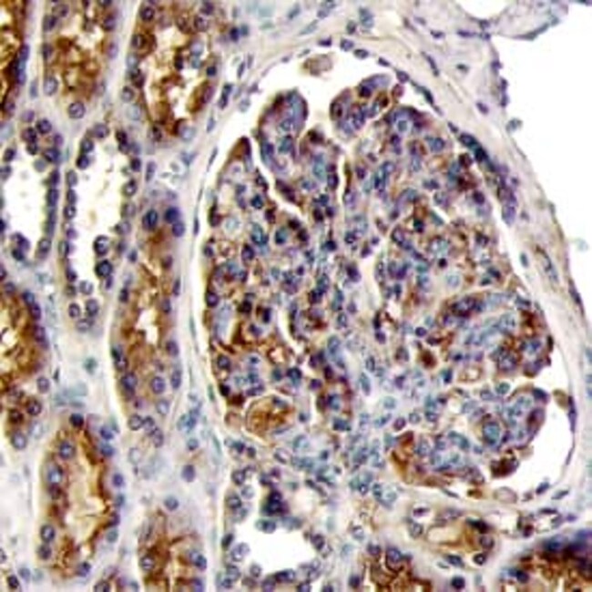
Invitrogen™ Endothelin A Receptor Monoclonal Antibody (485711)
GREENER_CHOICE

Mouse Monoclonal Antibody

Brand:  Invitrogen™ MA561682

Product Code. 30534432

  • £390.00 / 100µg

Please to purchase this item. Need a web account? Register with us today!

This item is not returnable. View return policy

Description

Description

Reconstitute with sterile PBS to a final concentration of 0.5 mg/mL.

This gene encodes the receptor for endothelin-1, a peptide that plays a role in potent and long-lasting vasoconstriction. This receptor associates with guanine-nucleotide-binding (G) proteins, and this coupling activates a phosphatidylinositol-calcium second messenger system. Polymorphisms in this gene have been linked to migraine headache resistance. Alternative splicing results in multiple transcript variants.
TRUSTED_SUSTAINABILITY
Specifications

Specifications

Endothelin A Receptor
Monoclonal
0.5 mg/mL
PBS with trehalose and no preservative
P25101
EDNRA
NS0 mouse myeloma cell line transfected with human EDRNA.
100 μg
Primary
Human
Antibody
IgG2b
Immunohistochemistry (Paraffin)
485711
Unconjugated
EDNRA
Ednra; Endor; Endothelin A; endothelin A receptor; endothelin receptor subtype A; endothelin receptor type A; endothelin type A receptor; endothelin-1 receptor; endothelin-1-specific receptor; ETa; ET-A; ETAR; ET-AR; ETA-R; ETRA; G protein coupled receptor; G protein-coupled receptor; Gpcr10; G-protein coupled receptor 10; hET-AR; MFDA; RGD1559432
Mouse
Protein A/G
RUO
1909
Store at 4°C short term. For long term storage, store at -20°C, avoiding freeze/thaw cycles.
Lyophilized
Product Suggestions

Product Suggestions

Videos
SDS
Documents

Documents

Certificates
Promotions

Promotions

Product Content Correction

Your input is important to us. Please complete this form to provide feedback related to the content on this product.

Product Title

By clicking Submit, you acknowledge that you may be contacted by Fisher Scientific in regards to the feedback you have provided in this form. We will not share your information for any other purposes. All contact information provided shall also be maintained in accordance with our Privacy Policy.

Thank You! Your feedback has been submitted. Fisher Scientific is always working to improve our content for you. We appreciate your feedback.