missing translation for 'onlineSavingsMsg'
Learn More
Learn More
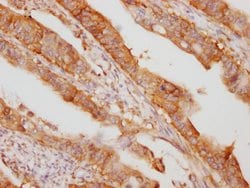
Invitrogen™ eIF5A Recombinant Rabbit Monoclonal Antibody (5E1)

Rabbit Recombinant Monoclonal Antibody
Brand: Invitrogen™ MA538399
This item is not returnable.
View return policy
Description
This antibody has been tested in direct-ELISA.
mRNA-binding protein involved in translation elongation. Has an important function at the level of mRNA turnover, probably acting downstream of decapping. Involved in actin dynamics and cell cycle progression, mRNA decay and probably in a pathway involved in stress response and maintenance of cell wall integrity. With syntenin SDCBP, functions as a regulator of TP53/p53 and TP53/p53-dependent apoptosis. Regulates also TNF-alpha-mediated apoptosis. Mediates effects of polyamines on neuronal process extension and survival. May play an important role in brain development and function, and in skeletal muscle stem cell differentiation. Also described as a cellular cofactor of human T-cell leukemia virus type I (HTLV-1) Rex protein and of human immunodeficiency virus type 1 (HIV-1) Rev protein, essential for mRNA export of retroviral transcripts.
Specifications
| eIF5A | |
| Recombinant Monoclonal | |
| 0.2 mg/mL | |
| PBS with 50% glycerol, 150mM NaCl and 0.02% sodium azide; pH 7.4 | |
| P63241 | |
| EIF5A | |
| A synthesized peptide derived from human eIF5A (aa 2-20). | |
| 100 μL | |
| Primary | |
| Human | |
| Antibody | |
| IgG |
| Flow Cytometry, Immunohistochemistry (Paraffin), Western Blot, Immunocytochemistry | |
| 5E1 | |
| Unconjugated | |
| EIF5A | |
| AA410058; D19Wsu54e; Eif4d; eIF-4D; Eif5a; eIF-5A; EIF5A1; eIF-5A1; eIF-5A-1; eIF5AI; eukaryotic initiation factor 5A; Eukaryotic initiation factor 5A isoform 1; eukaryotic translation initiation factor 5A; eukaryotic translation initiation factor 5A-1; MGC104255; MGC99547; OTTHUMP00000128384; Rev-binding factor; uORF A | |
| Rabbit | |
| Affinity chromatography | |
| RUO | |
| 1984 | |
| -20°C or -80°C if preferred | |
| Liquid |
Product Content Correction
Your input is important to us. Please complete this form to provide feedback related to the content on this product.
Product Title
Spot an opportunity for improvement?Share a Content Correction