missing translation for 'onlineSavingsMsg'
Learn More
Learn More
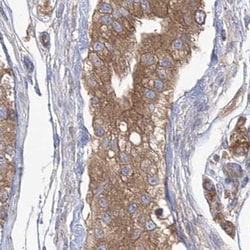
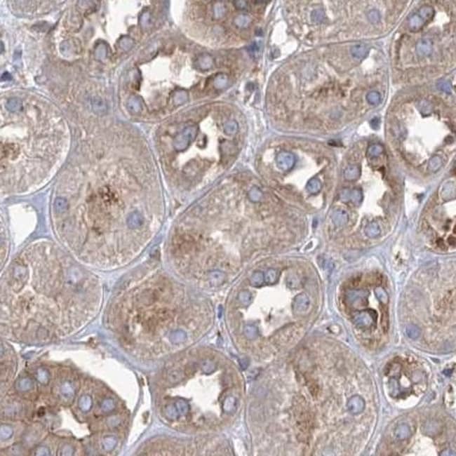
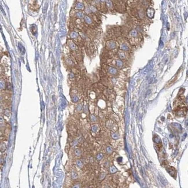
Invitrogen™ eIF3a Polyclonal Antibody

Rabbit Polyclonal Antibody
Brand: Invitrogen™ PA583411
This item is not returnable.
View return policy
Description
Immunogen sequence: LQNNTILRLL QQVSQIYQSI EFSRLTSLVP FVDAFQLERA IVDAARHCDL QVRIDHTSRT LSFGSDLNYA TREDAPIG Highest antigen sequence indentity to the following orthologs: Rat - 99%, Mouse - 97%.
RNA-binding component of the eukaryotic translation initiation factor 3 (eIF-3) complex, which is required for several steps in the initiation of protein synthesis (PubMed:17581632, PubMed:25849773). The eIF-3 complex associates with the 40S ribosome and facilitates the recruitment of eIF-1, eIF-1A, eIF-2:GTP:methionyl-tRNAi and eIF-5 to form the 43S pre-initiation complex (43S PIC). The eIF-3 complex stimulates mRNA recruitment to the 43S PIC and scanning of the mRNA for AUG recognition. The eIF-3 complex is also required for disassembly and recycling of post-termination ribosomal complexes and subsequently prevents premature joining of the 40S and 60S ribosomal subunits prior to initiation (PubMed:17581632, PubMed:11169732). The eIF-3 complex specifically targets and initiates translation of a subset of mRNAs involved in cell proliferation, including cell cycling, differentiation and apoptosis, and uses different modes of RNA stem-loop binding to exert either translational activation or repression (PubMed:25849773, PubMed:27462815). [UniProt].
Specifications
| eIF3a | |
| Polyclonal | |
| Unconjugated | |
| EIF3A | |
| 150/170; A830012B05Rik; Centrosomin; centrosomin homolog; Csma; cytoplasmic protein p167; Eif3; eIF3 p167; eIF3 p180; eIF3 p185; EIF3, p180 subunit; eIF3a; eIF3a {ECO:0000255; eIF3-p170; EIF3S10; eIF-3-theta; eIF3-theta; eIF-3-theta {ECO:0000255; eukaryotic translation initiation factor 3 subunit 10; EUKARYOTIC TRANSLATION INITIATION FACTOR 3 SUBUNIT 10 (EIF-3 THETA) (EIF3 P167) (EIF3 P180) (EIF3 P185) (P162 PROTEIN) (CENTROSOMIN); eukaryotic translation initiation factor 3 subunit 10 {ECO:0000255; eukaryotic translation initiation factor 3 subunit A; eukaryotic translation initiation factor 3 subunit A {ECO:0000255; eukaryotic translation initiation factor 3, subunit 10 (theta); eukaryotic translation initiation factor 3, subunit 10 (theta, 150/170kD); eukaryotic translation initiation factor 3, subunit 10 (theta, 170kD); eukaryotic translation initiation factor 3, subunit 10 theta, 150/170kDa; eukaryotic translation initiation factor 3, subunit 10, 170kD; eukaryotic translation initiation factor 3, subunit A; HAMAP-Rule:MF_03000}; KIAA0139; mKIAA0139; p162; P167; p180; p185; TIF32; ZH12 | |
| Rabbit | |
| Antigen affinity chromatography | |
| RUO | |
| 13669, 292148, 8661 | |
| Store at 4°C short term. For long term storage, store at -20°C, avoiding freeze/thaw cycles. | |
| Liquid |
| Immunohistochemistry (Paraffin), Western Blot | |
| 0.1 mg/mL | |
| PBS with 40% glycerol and 0.02% sodium azide; pH 7.2 | |
| P23116, Q14152, Q1JU68 | |
| EIF3A | |
| Recombinant protein corresponding to Human EIF3A. Recombinant protein control fragment (Product #RP-97032). | |
| 100 μL | |
| Primary | |
| Human, Mouse, Rat | |
| Antibody | |
| IgG |
Product Content Correction
Your input is important to us. Please complete this form to provide feedback related to the content on this product.
Product Title
Spot an opportunity for improvement?Share a Content Correction