missing translation for 'onlineSavingsMsg'
Learn More
Learn More
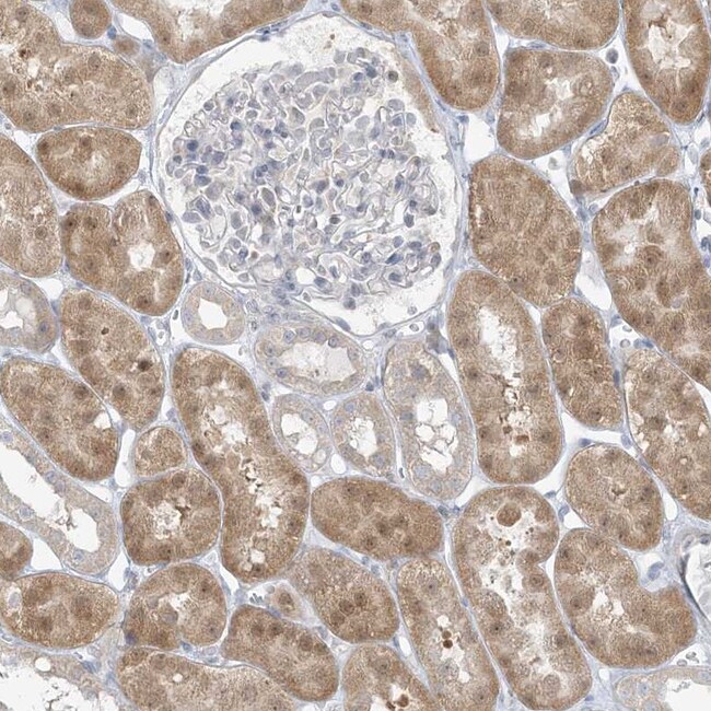
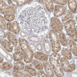
Invitrogen™ EEFSEC Polyclonal Antibody

Rabbit Polyclonal Antibody
Brand: Invitrogen™ PA557400
This item is not returnable.
View return policy
Description
Immunogen sequence: AKFHITVGHE TVMGRLMFFS PAPDNFDQEP ILDSFNFSQE YLFQEQYLSK DLTPAVTDND EADKKAGQAT EGHCPRQQWA LVEFEKPVTC Highest antigen sequence identity to the following orthologs: Mouse - 78%, Rat - 80%.
SELB is a translation factor necessary for the incorporation of selenocysteine into proteins. It probably replaces EF-Tu for the insertion of selenocysteine directed by the UGA codon. SelB binds GTP and GDP.
Specifications
| EEFSEC | |
| Polyclonal | |
| Unconjugated | |
| EEFSEC | |
| Eefsec; EFSEC; elongation factor for selenoprotein translation; elongation factor sec; eukaryotic elongation factor, selenocysteine-tRNA specific; eukaryotic elongation factor, selenocysteine-tRNA-specific; MJ0495-like protein SelB; mSelB; RGD1560552; sec; SELB; selenocysteine (Sec)-specific eukaryotic elongation factor; selenocysteine-specific elongation factor | |
| Rabbit | |
| Antigen affinity chromatography | |
| RUO | |
| 60678 | |
| Store at 4°C short term. For long term storage, store at -20°C, avoiding freeze/thaw cycles. | |
| Liquid |
| Immunohistochemistry (Paraffin), Western Blot, Immunocytochemistry | |
| 0.3 mg/mL | |
| PBS with 40% glycerol and 0.02% sodium azide; pH 7.2 | |
| P57772 | |
| EEFSEC | |
| Recombinant protein corresponding to Human EEFSEC. Recombinant protein control fragment (Product #RP-96337). | |
| 100 μL | |
| Primary | |
| Human | |
| Antibody | |
| IgG |
Product Content Correction
Your input is important to us. Please complete this form to provide feedback related to the content on this product.
Product Title
Spot an opportunity for improvement?Share a Content Correction