missing translation for 'onlineSavingsMsg'
Learn More
Learn More
Invitrogen™ EEF1G Polyclonal Antibody

Rabbit Polyclonal Antibody
Brand: Invitrogen™ PA5119900
This item is not returnable.
View return policy
Description
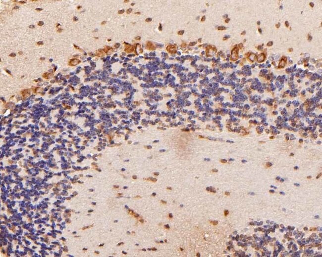
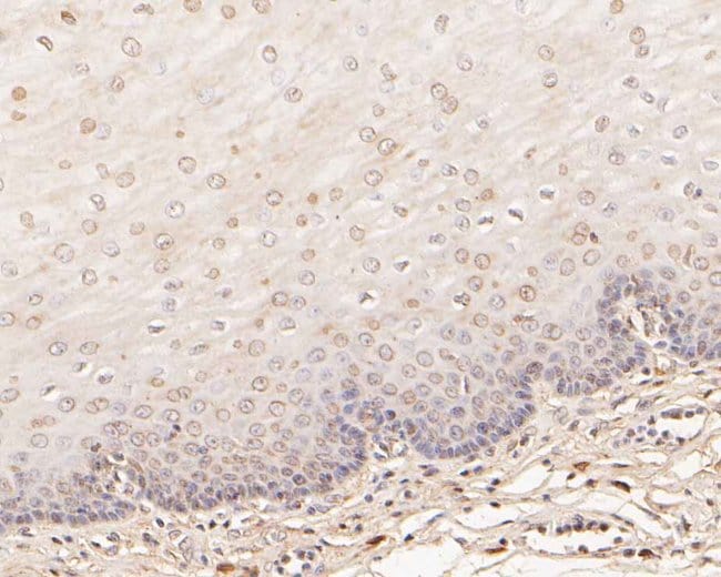
Positive Control: Daudi cell lysate, NIH/3T3 cell lysate, mouse cerebellum tissue, human esophagus tissue, rat pancreas tissue. Subcellular Location: cytosol, extracellular exosome, nucleus, cytoplasm, membrane.
EF-1 (elongation factor-1) is a multi-protein complex that is responsible for the delivery of aminoacyl-tRNAs to the ribosome. EF-1 gamma (elongation factor- 1 gamma), also known as EEF1G or GIG35, is a 437 amino acid subunit of the EF-1 complex. Expressed in stomach, pancreas, brain, lung, kidney, intestine, liver and spleen, EF-1 gamma contains an N-terminal Glutathione transferase domain which is thought to be involved in anchoring the complex to various cellular components. Additionally, EF-1 gamma may play a key role in the assembly of multiprotein complexes containing aminoacyl-tRNA synthetases. Increased expression of EF-1 gamma is associated with pancreatic cancer, suggesting a possible role for EF-1 gamma in the oncogenic transformation process.
Specifications
| EEF1G | |
| Polyclonal | |
| Unconjugated | |
| EEF1G | |
| 2610301D06Rik; AA407312; eEF-1B gamma; Eef1g; EF1G; EF-1-gamma; Elongation factor 1-gamma; eukaryotic translation elongation factor 1 gamma; GIG35; pancreatic tumor-related protein; PRO1608; translation elongation factor eEF-1 gamma chain | |
| Rabbit | |
| Affinity Chromatography | |
| RUO | |
| 1937, 293725, 67160 | |
| Store at 4°C short term. For long term storage, store at -20°C, avoiding freeze/thaw cycles. | |
| Liquid |
| Immunohistochemistry (Paraffin), Western Blot | |
| 1 mg/mL | |
| TBS with 0.2% BSA, 50% glycerol and 0.05% sodium azide; pH 7.4 | |
| P26641, Q68FR6, Q9D8N0 | |
| EEF1G | |
| Synthetic peptide within human EEF1G aa 10-60/437. | |
| 100 μL | |
| Primary | |
| Human, Mouse, Rat | |
| Antibody | |
| IgG |
Product Content Correction
Your input is important to us. Please complete this form to provide feedback related to the content on this product.
Product Title
Spot an opportunity for improvement?Share a Content Correction