missing translation for 'onlineSavingsMsg'
Learn More

E-cadherin Monoclonal Antibody (EP700Y), Invitrogen™

Rabbit Monoclonal Antibody

Brand:  Invitrogen MA514458

Product Code. 11599191

This item is currently unavailable or has been discontinued.
View the product page for possible alternatives.
View alternative products »

This item is not returnable. View return policy

Description

Description

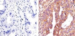
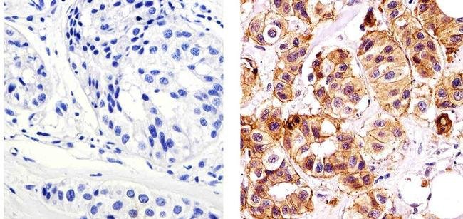
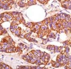
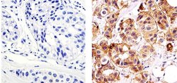
MA5-14458 targets E-Cadherin in IHC (P) applications and shows reactivity with Human samples. The MA5-14458 immunogen is a synthetic peptide derived from the fifth cadherin domain of human cadherin.

E-Cadherin (epithelial cadherin) is a classical cadherin from the cadherin (alcium dependent adhesion protein) superfamily. The encoded protein is a calcium dependent cell-cell adhesion glycoprotein comprised of five extracellular cadherin repeats, a transmembrane region and a highly conserved cytoplasmic tail. Mutations in this gene are correlated with gastric, breast, colorectal, thyroid and ovarian cancer. Loss of function is thought to contribute to progression in cancer by increasing proliferation, invasion, and/or metastasis. The ectodomain of this protein mediates bacterial adhesion to mammalian cells and the cytoplasmic domain is required for internalization. Identified transcript variants arise from mutation at consensus splice sites. E-cadherin plays a central role in the growth and development of cells by controlling tissue architecture, and maintenance of tissue integrity. In humans, E-cadherin is encoded by the CDH1 gene present on chromosome 16. Studies have demonstrated that reduction and/or loss of E-cadherin expression in carcinomas correlates positively with the potential of these tumors for invasion and metastasis.
TRUSTED_SUSTAINABILITY
Specifications

Specifications

E-cadherin
Monoclonal
Conc. Not Determined
tissue culture supernatant with 0.09% sodium azide
P12830
CDH1
A synthetic peptide derived from the fifth cadherin domain of human cadherin
RUO
999
4° C
Liquid
Immunocytochemistry, Immunohistochemistry (Paraffin)
EP700Y
Unconjugated
CDH1
AA960649; ARC-1; cadherin 1; cadherin 1, E-cadherin (epithelial); cadherin 1, epithelial; cadherin 1, type 1; cadherin 1, type 1, E-cadherin (epithelial); cadherin e; cadherin-1; cadherin-E; calcium-dependent adhesion protein, epithelial; CAM 120/80; CD324; CDH1; CDHE; cell adhesion molecule; cell-CAM 120/80; ECAD; E-cad; E-Cad/CTF1; E-Cad/CTF2; E-Cad/CTF3; Ecadherin; E-cadherin; E-cadherin 1; E-cadherin precursor; Epithelial cadherin; hab; half baked; LCAM; L-CAM; Um; UVO; Uvomorulin
Rabbit
1 mL
Primary
Human
Antibody
IgG
Product Suggestions

Product Suggestions

Videos
SDS
Documents

Documents

Certificates
Promotions

Promotions

Product Content Correction

Your input is important to us. Please complete this form to provide feedback related to the content on this product.

Product Title

By clicking Submit, you acknowledge that you may be contacted by Fisher Scientific in regards to the feedback you have provided in this form. We will not share your information for any other purposes. All contact information provided shall also be maintained in accordance with our Privacy Policy.

Thank You! Your feedback has been submitted. Fisher Scientific is always working to improve our content for you. We appreciate your feedback.