missing translation for 'onlineSavingsMsg'
Learn More
Learn More
Invitrogen™ DTX4 Polyclonal Antibody

Rabbit Polyclonal Antibody
Brand: Invitrogen™ PA563699
This item is not returnable.
View return policy
Description
Immunogen sequence: DSTGTIRGPL KTAPSQVIRR QASSMPTGTT MGSPASPPGP NSKTGRVALA TLNRTNLQRL AIAQSRVLIA SGVPTVPVKN LNGSSP Highest antigen sequence identity to the following orthologs: Mouse - 86%, Rat - 85%.
DTX4 is a regulator of Notch signaling, a signaling pathway involved in cell-cell communications that regulates a broad spectrum of cell-fate determinations. It functions as an ubiquitin ligase protein in vivo, mediating 'Lys48'-linked polyubiquitination and promoting degradation of TBK1, targeting to TBK1 requires interaction with NLRP4.
Specifications
| DTX4 | |
| Polyclonal | |
| Unconjugated | |
| DTX4 | |
| AI449438; BC044798; D930042H13; deltex 4 homolog; deltex 4 homolog (Drosophila); deltex 4, E3 ubiquitin ligase; deltex E3 ubiquitin ligase 4; deltex homolog 4; deltex4; DTX4; E3 ubiquitin-protein ligase DTX4; KIAA0937; LRRGT00037; Protein deltex-4; RING finger protein 155; RING-type E3 ubiquitin transferase DTX4; RNF155 | |
| Rabbit | |
| Antigen affinity chromatography | |
| RUO | |
| 207521, 23220 | |
| Store at 4°C short term. For long term storage, store at -20°C, avoiding freeze/thaw cycles. | |
| Liquid |
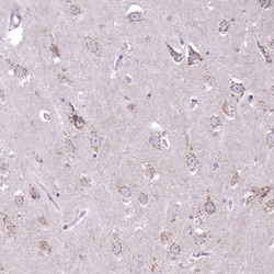
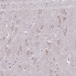
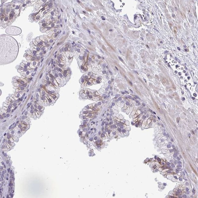
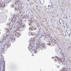
| Immunohistochemistry (Paraffin), Immunocytochemistry | |
| 0.1 mg/mL | |
| PBS with 40% glycerol and 0.02% sodium azide; pH 7.2 | |
| Q6PDK8, Q9Y2E6 | |
| DTX4 | |
| Recombinant protein corresponding to Human DTX4. Recombinant protein control fragment (Product #RP-97284). | |
| 100 μL | |
| Primary | |
| Human, Mouse | |
| Antibody | |
| IgG |
Product Content Correction
Your input is important to us. Please complete this form to provide feedback related to the content on this product.
Product Title
Spot an opportunity for improvement?Share a Content Correction