missing translation for 'onlineSavingsMsg'
Learn More
Learn More
Invitrogen™ DTNB Monoclonal Antibody (OTI3C11)

Mouse Monoclonal Antibody
Brand: Invitrogen™ MA525856
This item is not returnable.
View return policy
Description
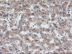
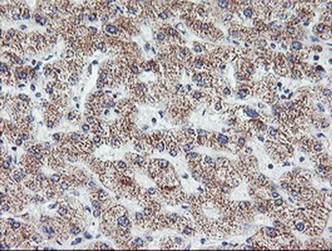
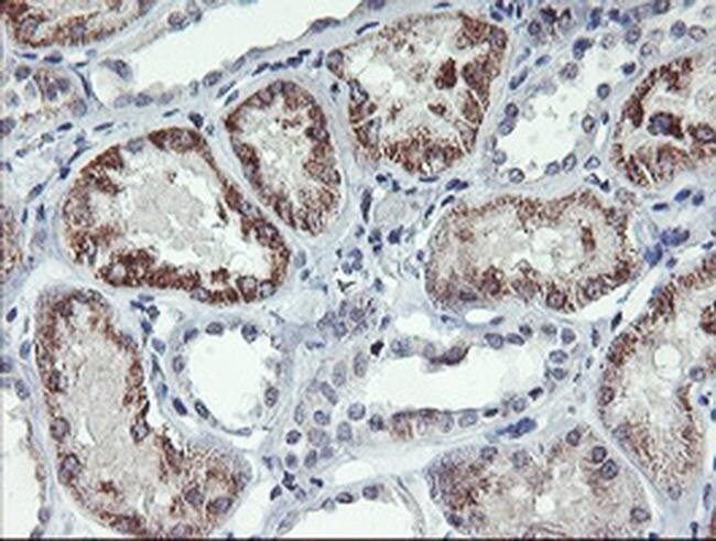
DTNB Monoclonal Antibody for Western Blot, ICC/IF, IHC (P)
This gene encodes dystrobrevin beta, a component of the dystrophin-associated protein complex (DPC). The DPC consists of dystrophin and several integral and peripheral membrane proteins, including dystroglycans, sarcoglycans, syntrophins and dystrobrevin alpha and beta. The DPC localizes to the sarcolemma and its disruption is associated with various forms of muscular dystrophy. Dystrobrevin beta is thought to interact with syntrophin and the DP71 short form of dystrophin. Alternatively spliced transcript variants encoding different isoforms have been identified.
Specifications
| DTNB | |
| Monoclonal | |
| 0.73 mg/mL | |
| PBS with 1% BSA, 50% glycerol and 0.02% sodium azide; pH 7.3 | |
| O60941 | |
| DTNB | |
| Full length human recombinant protein of DTNB produced in HEK239T cell. | |
| 100 μL | |
| Primary | |
| Human | |
| Antibody | |
| IgG1 |
| Immunohistochemistry (Paraffin), Western Blot, Immunocytochemistry | |
| OTI3C11 | |
| Unconjugated | |
| DTNB | |
| Beta-dystrobrevin; DTNB; DTN-B; dtnb {ECO:0000250; Dystrobrevin beta; dystrobrevin, beta; mDTN-B; UniProtKB:O70585} | |
| Mouse | |
| Affinity Chromatography | |
| RUO | |
| 1838 | |
| -20°C, Avoid Freeze/Thaw Cycles | |
| Liquid |
Product Content Correction
Your input is important to us. Please complete this form to provide feedback related to the content on this product.
Product Title
Spot an opportunity for improvement?Share a Content Correction