missing translation for 'onlineSavingsMsg'
Learn More
Learn More
Invitrogen™ DSE Polyclonal Antibody

Rabbit Polyclonal Antibody
Brand: Invitrogen™ PA553230
This item is not returnable.
View return policy
Description
Immunogen sequence: FRKTAERLLR FSDKRQTEEA IDRIFAISQQ QQQQSKSKKN RRAGKRYKFV DAVPDIFAQI EVNEKKIRQK AQILAQKELP IDEDEEMKDL LDFADVTYEK HKNGGLIKGR FGQARMVTTT HSRAPSLSAS YT Highest antigen sequence identity to the following orthologs: Mouse - 87%, Rat - 89%.
Converts D-glucuronic acid to L-iduronic acid (IdoUA) residues.
Specifications
| DSE | |
| Polyclonal | |
| Unconjugated | |
| DSE | |
| 6030499O08; AI480506; B130024B19Rik; Chondroitin-glucuronate 5-epimerase; dermatan sulfate epimerase; dermatan-sulfate epimerase; DS epimerase; Dse; DSEP; DSEPI; DS-epi1; EDSMC2; Sart2; SART-2; squamous cell carcinoma antigen recognized by T cells 2; squamous cell carcinoma antigen recognized by T-cells 2 | |
| Rabbit | |
| Antigen affinity chromatography | |
| RUO | |
| 29940 | |
| Store at 4°C short term. For long term storage, store at -20°C, avoiding freeze/thaw cycles. | |
| Liquid |
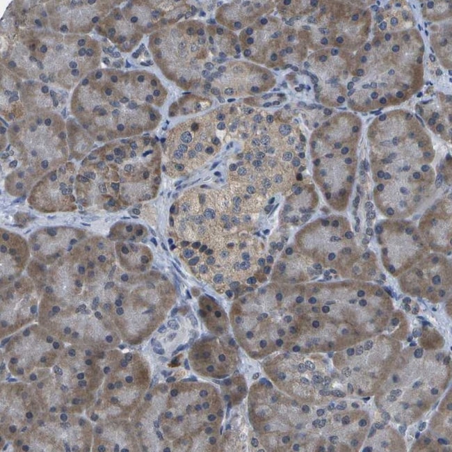
| Immunohistochemistry (Paraffin), Immunocytochemistry | |
| 0.2 mg/mL | |
| PBS with 40% glycerol and 0.02% sodium azide; pH 7.2 | |
| Q9UL01 | |
| DSE | |
| Recombinant protein corresponding to Human DSE. Recombinant protein control fragment (Product #RP-91113). | |
| 100 μL | |
| Primary | |
| Human | |
| Antibody | |
| IgG |
Product Content Correction
Your input is important to us. Please complete this form to provide feedback related to the content on this product.
Product Title
Spot an opportunity for improvement?Share a Content Correction