Learn More
Invitrogen™ DNAJC15 Recombinant Rabbit Monoclonal Antibody (1E5)

Rabbit Recombinant Monoclonal Antibody
Brand: Invitrogen™ MA524854
Description
Recombinant rabbit monoclonal antibodies are produced using in vitro expression systems. The expression systems are developed by cloning in the specific antibody DNA sequences from immunoreactive rabbits. Then, individual clones are screened to select the best candidates for production. The advantages of using recombinant rabbit monoclonal antibodies include: better specificity and sensitivity, lot-to-lot consistency, animal origin-free formulations, and broader immunoreactivity to diverse targets due to larger rabbit immune repertoire.
DNAJC15 is a negative regulator of the mitochondrial respiratory chain. DNAJC15 prevents mitochondrial hyperpolarization state and restricts mitochondrial generation of ATP. DNAJC15 also acts as an import component of the TIM23 translocase complex, and stimulates the ATPase activity of HSPA9. Diseases associated with DNAJC15 include Cicatricial Entropion.
Specifications
| DNAJC15 | |
| Recombinant Monoclonal | |
| 1.0 mg/mL | |
| PBS with 50% glycerol and 0.02% sodium azide; pH 7.2 | |
| Q78YY6, Q9Y5T4 | |
| DNAJC15 | |
| Recombinant DNAJC15. | |
| 100 μL | |
| Primary | |
| Human, Mouse, Rat | |
| Antibody | |
| IgG |
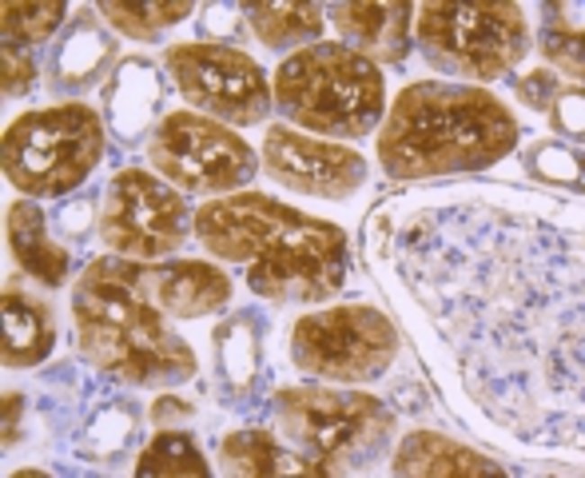
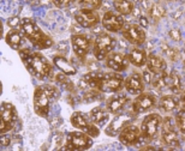
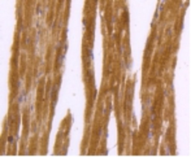
| Immunohistochemistry (Paraffin), Western Blot | |
| 1E5 | |
| Unconjugated | |
| DNAJC15 | |
| 1110003P16Rik; cell growth-inhibiting gene 22 protein; DnaJ (Hsp40) homolog, subfamily C, member 15; DnaJ (Hsp40) homolog, subfamily D, member 1; DNAJ domain-containing; DnaJ heat shock protein family (Hsp40) member C15; dnaJ homolog subfamily C member 15; DNAJC15; Dnajd1; GIG22; HSD18; MCJ; methylation-controlled J protein | |
| Rabbit | |
| Protein A | |
| RUO | |
| 290370, 29103, 66148 | |
| Store at 4°C short term. For long term storage, store at -20°C, avoiding freeze/thaw cycles. | |
| Liquid |
Din input är viktig för oss. Fyll i det här formuläret för att ge feedback relaterad till innehållet på denna produkt.