missing translation for 'onlineSavingsMsg'
Learn More

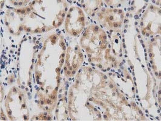
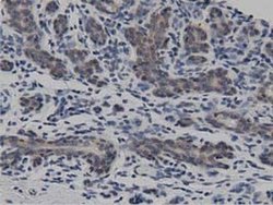
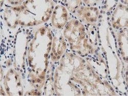
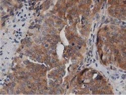
Invitrogen™ DNAJA2 Monoclonal Antibody (OTI3A10)
GREENER_CHOICE

Mouse Monoclonal Antibody

Brand:  Invitrogen™ MA525232

Product Code. 15974834

  • £474.00 / 100µL

Please to purchase this item. Need a web account? Register with us today!

This item is not returnable. View return policy

Description

Description

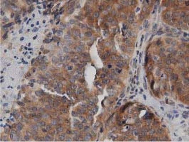
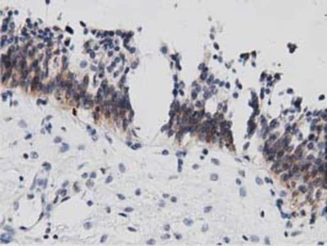
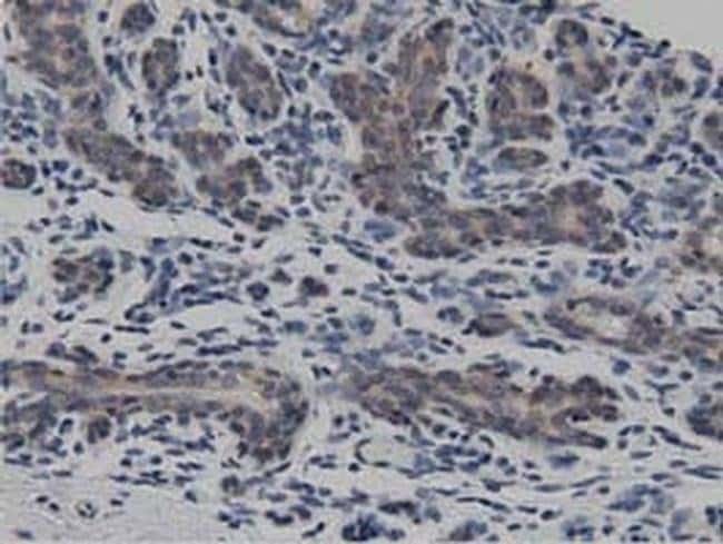
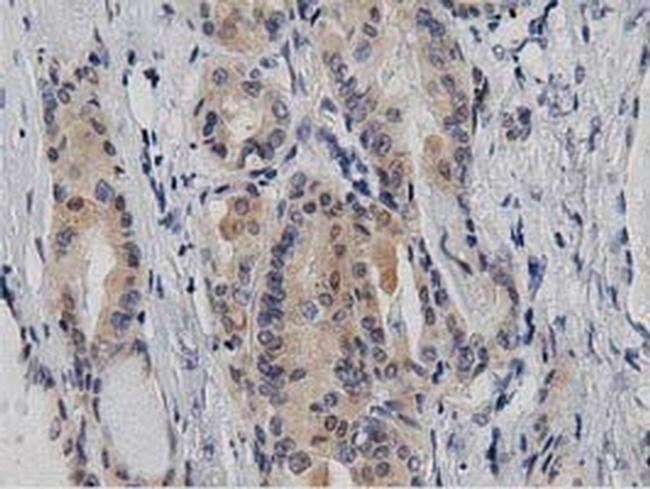
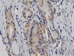
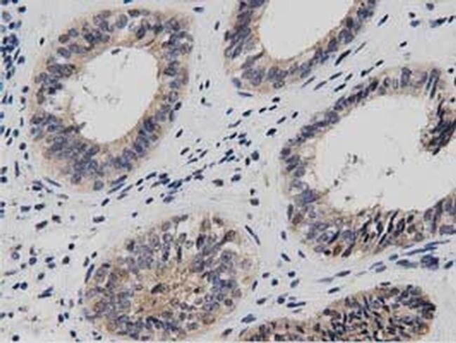
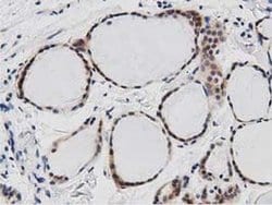
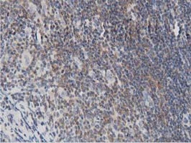
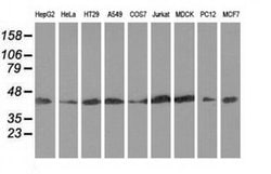
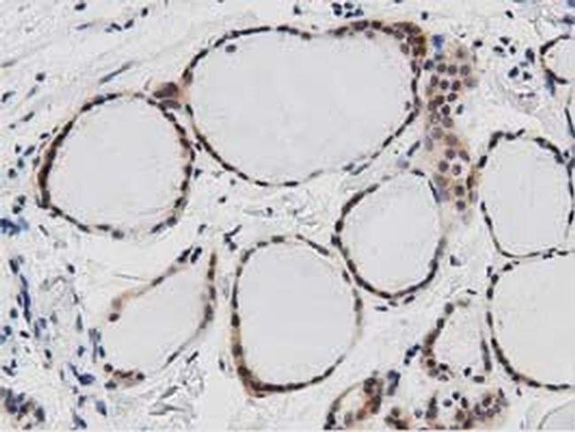
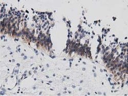
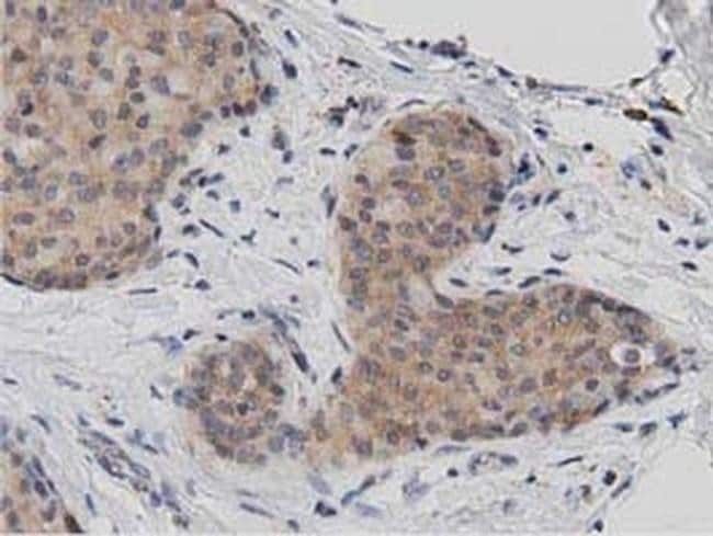
DNAJA2 Monoclonal Antibody for Western Blot, ICC/IF, IHC (P), Flow

The protein encoded by this gene belongs to the evolutionarily conserved DNAJ/HSP40 family of proteins, which regulate molecular chaperone activity by stimulating ATPase activity. DNAJ proteins may have up to 3 distinct domains: a conserved 70-amino acid J domain, usually at the N terminus; a glycine/phenylalanine (G/F)-rich region; and a cysteine-rich domain containing 4 motifs resembling a zinc finger domain. The product of this gene works as a cochaperone of Hsp70s in protein folding and mitochondrial protein import in vitro.
TRUSTED_SUSTAINABILITY
Specifications

Specifications

DNAJA2
Monoclonal
1 mg/mL
PBS with 1% BSA, 50% glycerol and 0.02% sodium azide; pH 7.3
O35824, O60884
DNAJA2
Full length human recombinant protein of DNAJA2 produced in HEK293T cell.
100 μL
Primary
Human, Rat, Canine, Monkey
Antibody
IgG1
Flow Cytometry, Immunohistochemistry (Paraffin), Western Blot, Immunocytochemistry
OTI3A10
Unconjugated
DNAJA2
1500017M13Rik; 2010206B19Rik; cell cycle progression 3 protein; cell cycle progression restoration gene 3 protein; CPR3; DJ3; DJA2; DNA J protein; DNAJ; DnaJ (Hsp40) homolog, subfamily A, member 2; DnaJ heat shock protein family (Hsp40) member A2; dnaJ homolog subfamily A member 2; Dnaj3; Dnaja2; DNJ3; EGK_12748; HIRA interacting protein 4; HIRA-interacting protein 4; HIRIP4; mDj3; PRO3015; Rdj2; Renal carcinoma antigen NY-REN-14
Mouse
Affinity chromatography
RUO
10294, 478143, 84026
-20°C, Avoid Freeze/Thaw Cycles
Liquid
Product Suggestions

Product Suggestions

Videos
SDS
Documents

Documents

Certificates
Promotions

Promotions

Product Content Correction

Your input is important to us. Please complete this form to provide feedback related to the content on this product.

Product Title

By clicking Submit, you acknowledge that you may be contacted by Fisher Scientific in regards to the feedback you have provided in this form. We will not share your information for any other purposes. All contact information provided shall also be maintained in accordance with our Privacy Policy.

Thank You! Your feedback has been submitted. Fisher Scientific is always working to improve our content for you. We appreciate your feedback.