missing translation for 'onlineSavingsMsg'
Learn More

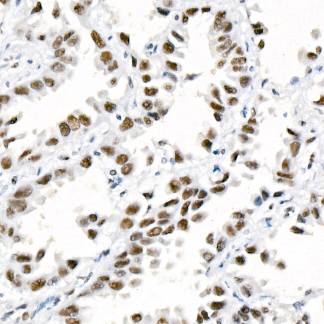
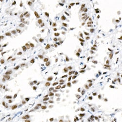
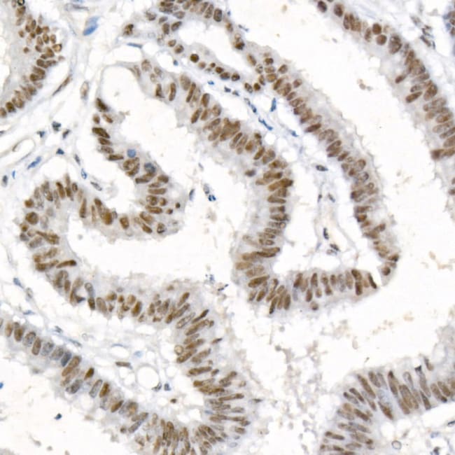
Invitrogen™ DNA-PK Recombinant Rabbit Monoclonal Antibody (4H6W7)

Rabbit Recombinant Monoclonal Antibody

Brand:  Invitrogen™ MA558221

 View more versions of this product

Product Code. 30283479

  • £147.00 / 20µL

Please to purchase this item. Need a web account? Register with us today!

This item is not returnable. View return policy

Description

Description

Immunogen sequence: LKKGGSWIQE INVAEKNWYP RQKICYAKRK LAGANPAVIT CDELLLGHEK APAFRDYVAV ARGSKDHNIR AQEPESGLSE ETQVKCLMDQ ATDPNILGRT.

DNA-PK is a heterotrimeric, DNA-dependent protein kinase that initiates signaling cascades in response to DNA damage. DNA-PK is an atypical kinase, closely related to the PI3 kinases, and is often potently inhibited by small molecules designed to target PI3 kinases. DNA-PK encodes a component of the mediator complex, a transcriptional coactivator complex thought to be required for the expression of almost all genes. The mediator complex is recruited by transcriptional activators or nuclear receptors to induce gene expression, possibly by interacting with RNA polymerase II and promoting the formation of a transcriptional pre-initiation complex. Multiple transcript variants encoding different isoforms have been found for DNA-PK.
TRUSTED_SUSTAINABILITY
Specifications

Specifications

DNA-PK
Recombinant Monoclonal
3.43 mg/mL
PBS with 0.05% BSA, 50% glycerol and 0.09% sodium azide; pH 7.3
P78527
PRKDC
A synthetic peptide corresponding to a sequence within amino acids 4021-4120 of human DNA-PKcs (NP_008835.5).
20 μL
Primary
Human
Antibody
IgG
ELISA, Immunohistochemistry (Paraffin)
4H6W7
Unconjugated
PRKDC
AI326420; AU019811; DNA-dependent protein kinase catalytic subunit; DNAPDcs; DNAPK; DNA-PK catalytic subunit; DNA-PKcs; DNPK1; DOXNPH; doxorubicin nephropathy; dxnph; hyper-radiosensitivity of murine scid mutation, complementing 1; HYRC; HYRC1; I79_017613; IMD26; p350; p460; Prkdc; protein kinase, DNA activated, catalytic polypeptide; protein kinase, DNA-activated, catalytic polypeptide; scid; severe combined immunodeficiency; slip; Xrcc7
Rabbit
Protein A
RUO
5591
-20°C, Avoid Freeze/Thaw Cycles
Liquid
Product Suggestions

Product Suggestions

Videos
SDS
Documents

Documents

Certificates
Promotions

Promotions

Product Content Correction

Your input is important to us. Please complete this form to provide feedback related to the content on this product.

Product Title

By clicking Submit, you acknowledge that you may be contacted by Fisher Scientific in regards to the feedback you have provided in this form. We will not share your information for any other purposes. All contact information provided shall also be maintained in accordance with our Privacy Policy.

Thank You! Your feedback has been submitted. Fisher Scientific is always working to improve our content for you. We appreciate your feedback.