missing translation for 'onlineSavingsMsg'
Learn More

Invitrogen™ DLAT Monoclonal Antibody (K29029_2E2), Invitrogen™

Mouse Monoclonal Antibody

Brand:  Invitrogen™ MA555669

 View more versions of this product

Product Code. 30202816

  • £453.00 / 50µg

Please to purchase this item. Need a web account? Register with us today!

This item is not returnable. View return policy

Description

Description

Sequence of this protein is as follows: HQKVPLPSLS PTMQAGTIAR WEKKEGDKIN EGDLIAEVET DKATVGFESL EECYMAKILV AEGTRDVPIG AIICITVGKP EDIEAFKNYT LDSSAAPTPQ AAPAPTPAAT ASPPTPSAQA PGSSYPPHMQ VLLPALSPTM TMGTVQRWEK KVGEKLSEGD LLAEIETDKA TIGFEVQEEG YLAKILVPEG TRDVPLGTPL CIIVEKEADI SAFADYRPTE VTDLKPQVPP PTPPPVAAVP PTPQPLAPTP SAPCPATPAG PKGRVFVSPL AKKLAVEKGI DLTQVKGTGP DGRITKKDID SFVPSKVAPA PAAVVPPTGP

DLAT encodes component E2 of the multi-enzyme pyruvate dehydrogenase complex (PDC). PDC resides in the inner mitochondrial membrane and catalyzes the conversion of pyruvate to acetyl coenzyme A. The protein product of this gene, dihydrolipoamide acetyltransferase, accepts acetyl groups formed by the oxidative decarboxylation of pyruvate and transfers them to coenzyme A. Dihydrolipoamide acetyltransferase is the antigen for antimitochondrial antibodies. These autoantibodies are present in nearly 95% of patients with the autoimmune liver disease primary biliary cirrhosis (PBC). In PBC, activated T lymphocytes attack and destroy epithelial cells in the bile duct where this protein is abnormally distributed and overexpressed. PBC eventually leads to cirrhosis and liver failure.
TRUSTED_SUSTAINABILITY
Specifications

Specifications

DLAT
Monoclonal
1 mg/mL
PBS with 50% glycerol, 0.5% BSA and 0.09% sodium azide
P08461, P10515
DLAT
Recombinant human DLAT (immunogen range is 91-410).
50 μL
Primary
Human, Rat
Antibody
IgG1
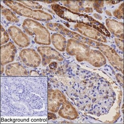
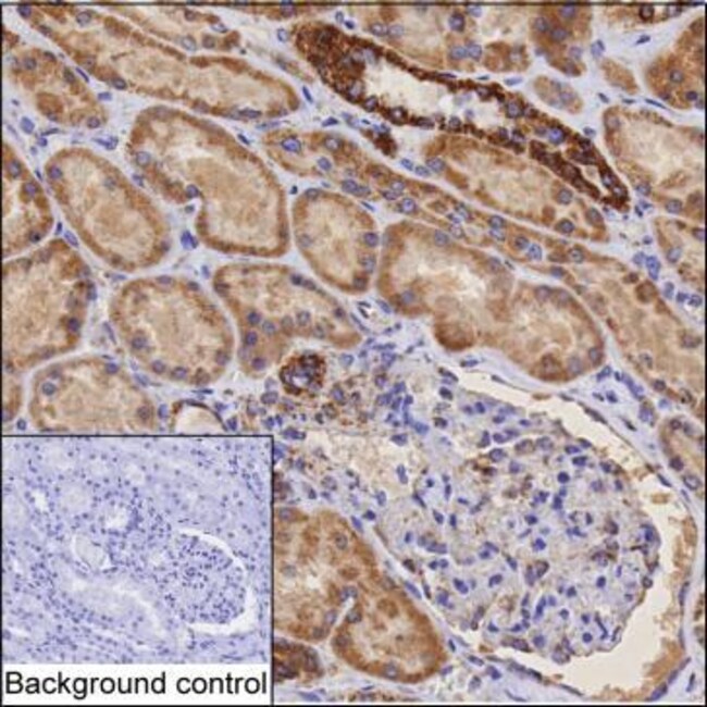
Immunohistochemistry (Paraffin), Immunoprecipitation, Western Blot
K29029_2E2
Unconjugated
DLAT
6332404G05Rik; 70 kDa mitochondrial autoantigen of primary biliary cirrhosis; anti DLAT; Dihydrolipoamide; Dihydrolipoamide acetyltransferase component of pyruvate dehydrogenase complex; dihydrolipoamide S-acetyltransferase; dihydrolipoamide S-acetyltransferase (E2 component of pyruvate dehydrogenase complex); dihydrolipoyllysine-residue acetyltransferase component of pyruvate dehydrogenase complex mitochondrial; dihydrolipoyllysine-residue acetyltransferase component of pyruvate dehydrogenase complex, mitochondrial; DLAT; DLTA; E2; E2 component of pyruvate dehydrogenase complex; EC 2.3.1.12; M2 antigen complex 70 kDa subunit; ODP2; PBC; PDC PDC-E2; PDCE2; PDC-E2; pyruvate dehydrogenase complex component E2
Mouse
Protein A
RUO
1737, 81654
Store at 4°C short term. For long term storage, store at -20°C, avoiding freeze/thaw cycles.
Liquid
Product Suggestions

Product Suggestions

Videos
SDS
Documents

Documents

Certificates
Promotions

Promotions

Product Content Correction

Your input is important to us. Please complete this form to provide feedback related to the content on this product.

Product Title

By clicking Submit, you acknowledge that you may be contacted by Fisher Scientific in regards to the feedback you have provided in this form. We will not share your information for any other purposes. All contact information provided shall also be maintained in accordance with our Privacy Policy.

Thank You! Your feedback has been submitted. Fisher Scientific is always working to improve our content for you. We appreciate your feedback.