missing translation for 'onlineSavingsMsg'
Learn More
Learn More
Invitrogen™ DGKZ Polyclonal Antibody

Rabbit Polyclonal Antibody
Brand: Invitrogen™ PA562385
This item is not returnable.
View return policy
Description
Immunogen sequence: EHLNYVTEIA QDEIYILDPE LLGASARPDL PTPTSPLPTS PCSPTPRSLQ GDAAPPQGEE LIEAAKRNDF CKLQE Highest antigen sequence identity to the following orthologs: Mouse - 92%, Rat - 96%.
The protein encoded by this gene belongs to the eukaryotic diacylglycerol kinase family. It may attenuate protein kinase C activity by regulating diacylglycerol levels in intracellular signaling cascade and signal transduction. Alternative splicing occurs at this locus and four transcript variants encoding distinct isoforms have been identified.
Specifications
| DGKZ | |
| Polyclonal | |
| Unconjugated | |
| DGKZ | |
| 104 kDa diacylglycerol kinase; DAG kinase DAGK6; DAG kinase zeta; DAGK5; DAGK6; DGK-IV; DGKZ; DGK-zeta; Diacylglycerol kinase zeta; diacylglycerol kinase, zeta 104kDa; Diglyceride kinase; diglyceride kinase zeta; E130307B02Rik; ENSMUSG00000075035; F730209L11Rik; hDGKzeta; mDGK[z] | |
| Rabbit | |
| Antigen affinity chromatography | |
| RUO | |
| 8525 | |
| Store at 4°C short term. For long term storage, store at -20°C, avoiding freeze/thaw cycles. | |
| Liquid |
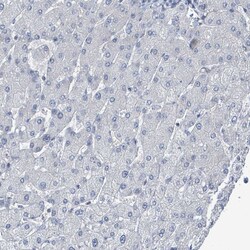
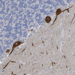
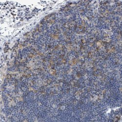
| Immunohistochemistry (Paraffin), Western Blot, Immunocytochemistry | |
| 0.2 mg/mL | |
| PBS with 40% glycerol and 0.02% sodium azide; pH 7.2 | |
| Q13574 | |
| DGKZ | |
| Recombinant protein corresponding to Human DGKZ. Recombinant protein control fragment (Product #RP-101359). | |
| 100 μL | |
| Primary | |
| Human | |
| Antibody | |
| IgG |
Product Content Correction
Your input is important to us. Please complete this form to provide feedback related to the content on this product.
Product Title
Spot an opportunity for improvement?Share a Content Correction