missing translation for 'onlineSavingsMsg'
Learn More
Learn More
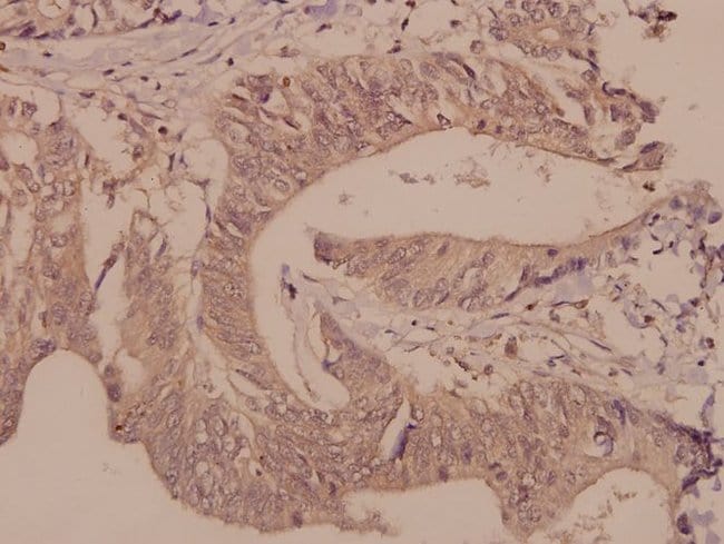
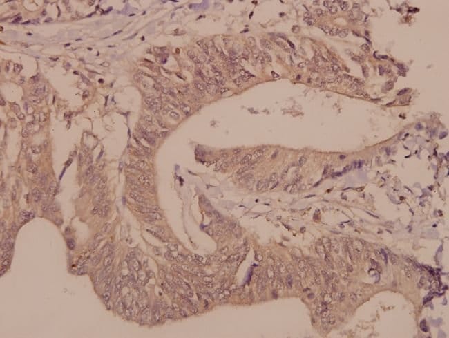
Invitrogen™ DGKQ Polyclonal Antibody

Description
This antibody detects endogenous protein at a molecular weight of 101 kDa. Purity is >95% by SDS-PAGE.
Diacylglycerol (DAG) is a fundamental lipid second messenger that is produced in the nucleus. The accumulation of DAG in the nucleus is important for the regulation of cell growth and differentiation. Diacylglycerol kinases (DGKs) convert DAG to phosphatidic acid, thereby terminating diacylglycerol signaling, which results in the reduction of protein kinase C activity and cell cycle progression of T lymphocytes. Diacylglycerol kinases are divided into five subtypes, Type I-Type V. DGK-theta is a Type V DGK, and localizes mainly to the nucleus of various cell lines, such as MDA-MB-453, MCF-7, PC12 and HeLa. Nuclear DGK-theta co-localizes with phosphatidylinositol 4, 5-bisphosphate (PIP(2)). DGK-theta is the isoform responsive to alpha-Thrombin stimulation.
Specifications
Specifications
| Antigen | DGKQ |
| Applications | Immunohistochemistry (Paraffin) |
| Classification | Polyclonal |
| Concentration | 1 mg/mL |
| Conjugate | Unconjugated |
| Formulation | PBS with 50% glycerol and 0.02% sodium azide; pH 7.2 |
| Gene | DGKQ |
| Gene Accession No. | P52824 |
| Gene Alias | 110kDa; DAG kinase theta; DAGK; Dagk4; DAGK7; Dgk theta; Dgkd; DGKQ; DGK-theta; Diacylglycerol kinase theta; diacylglycerol kinase, delta (110 kDa); diacylglycerol kinase, theta; diacylglycerol kinase, theta 110kDa; diglyceride kinase theta; testis tissue sperm-binding protein Li 38a |
| Gene Symbols | DGKQ |
| Show More |
Product Title
By clicking Submit, you acknowledge that you may be contacted by Fisher Scientific in regards to the feedback you have provided in this form. We will not share your information for any other purposes. All contact information provided shall also be maintained in accordance with our Privacy Policy.
Spot an opportunity for improvement?