missing translation for 'onlineSavingsMsg'
Learn More

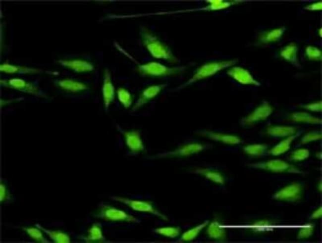
DGK-zeta Antibody, Novus Biologicals™

Product Code. 18342179 Shop All Bio Techne Products
Change view
Click to view available options
Quantity:
0.1 mg
Unit Size:
0.01mg
1 product options available for selection
Product selection table with 1 available options. Use arrow keys to navigate and Enter or Space to select.
Product Code. Quantity unitSize
18342179 0.1 mg 0.01mg
Use arrow keys to navigate between rows. Press Enter or Space to select a product option. 1 options available.
1 options
This item is not returnable. View return policy
Product Code. 18342179 Supplier Novus Biologicals Supplier No. H00008525D01P

Please to purchase this item. Need a web account? Register with us today!

This item is not returnable. View return policy

Rabbit Polyclonal Antibody

DGK-zeta Polyclonal antibody specifically detects DGK-zeta in Human samples. It is validated for Western Blot, Immunocytochemistry/ Immunofluorescence
TRUSTED_SUSTAINABILITY

Specifications

Antigen DGK-zeta
Applications Western Blot, Immunocytochemistry
Classification Polyclonal
Conjugate Unconjugated
Formulation PBS (pH 7.4)
Gene Accession No. AAH41770.1
Gene Alias DAGK5, DAGK6DAG kinase zeta, DGK-ZETA, diacylglycerol kinase zeta, diacylglycerol kinase, zeta, diacylglycerol kinase, zeta 104kDa, Diglyceride kinase zeta, EC 2.7.1.107, hDGKzeta
Host Species Rabbit
Immunogen DGKZ (AAH41770.1, 1 a.a. - 929 a.a.) full-length human protein. MEPRDGSPEARSSDSESASASSSGSERDAGPEPDKAPRRLNKRRFPGLRLFGHRKAITKSGLQHLAPPPPTPGAPCSESERQIRSTVDWSESATYGEHIWFETNVSGDFCYVGEQYCVARMLQKSVSRRKCAACKIVVHTPCIEQLEKINFRCKPSFRESGSRNVREPTFVRHHWVHRRRQDGKCRHCGKGFQQKFTFHSKEIVAISCSWCKQAYHSKVSCFMLQQIEEPCSLGVHAAVVIPPTWILRARRPQNTLKASKKKKRASFKRKSSKKGPEEGRWRPFIIRPTPSPLMKPLLVFVNPKSGGNQGAKIIQSFLWYLNPRQVFDLSQGGPKEALEMYRKVHNLRILACGGDGTVGWILSTLDQLRLKPPPPVAILPLGTGNDLARTLNWGGGYTDEPVSKILSHVEEGNVVQLDRWDLHAEPNPEAGPEDRDEGATDRLPLDVFNNYFSLGFDAHVTLEFHESREANPEKFNSRFRNKMFYAGTAFSDFLMGSSKDLAKHIRVVCDGMDLTPKIQDLKPKCVVFLNIPRYCAGTMPWGHPGEHHDFEPQRHDDGYLEVIGFTMTSLAALQVGGHGERLTQCREVVLTTSKAIPVQVDGEPCKLAASRIRIALRNQATMVQKAKRRSAAPLHSDQQPVPEQLRIQVSRVSMHDYEALHYDKEQLKEASVPLGTVVVPGDSDLELCRAHIERLQQEPDGAGAKSPTCQKLSPKWCFLDATTASRFYRIDRAQEHLNYVTEIAQDEIYILDPELLGASARPDLPTPTSPLPTSPCSPTPRSLQGDAAPPQGEELIEAAKRNDFCKLQELHRAGGDLMHRDEQSRTLLHHAVSTGSKDVVRYLLDHAPPEILDAVEENGETCLHQAAALGQRTICHYIVEAGASLMKTDQQGDTPRQRAEKAQDTELAAYLENRQHYQMIQREDQETAV
Purification Method Protein G purified
Quantity 0.1 mg
Regulatory Status RUO
Research Discipline Lipid and Metabolism
Primary or Secondary Primary
Gene ID (Entrez) 8525
Target Species Human
Content And Storage Aliquot and store at -20°C or -80°C. Avoid freeze-thaw cycles.
Form Purified
Isotype IgG
Show More Show Less
Product Title
Select an issue

By clicking Submit, you acknowledge that you may be contacted by Fisher Scientific in regards to the feedback you have provided in this form. We will not share your information for any other purposes. All contact information provided shall also be maintained in accordance with our Privacy Policy.