missing translation for 'onlineSavingsMsg'
Learn More

DGK-alpha Antibody (2B7), Novus Biologicals™

Product Code. 18391618 Shop All Bio Techne Products
Change view
Click to view available options
Quantity:
0.1 mg
Unit Size:
0.01mg
1 product options available for selection
Product selection table with 1 available options. Use arrow keys to navigate and Enter or Space to select.
Product Code. Quantity unitSize
18391618 0.1 mg 0.01mg
Use arrow keys to navigate between rows. Press Enter or Space to select a product option. 1 options available.
1 options
This item is not returnable. View return policy
Product Code. 18391618 Supplier Novus Biologicals Supplier No. H00001606M02

Please to purchase this item. Need a web account? Register with us today!

This item is not returnable. View return policy

Mouse Monoclonal Antibody

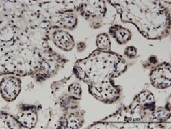
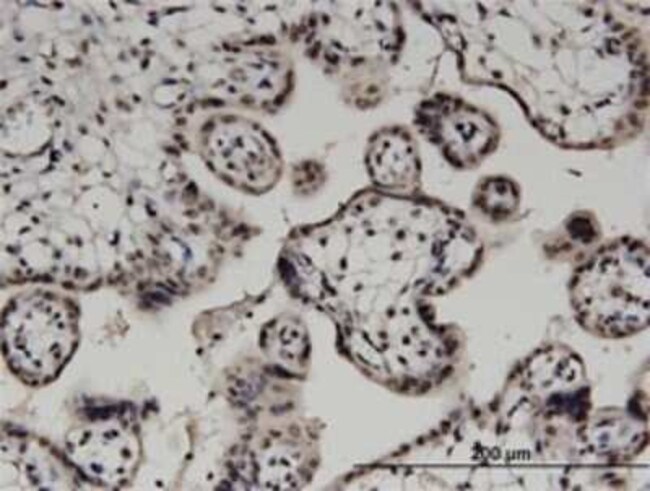
DGK-alpha Monoclonal antibody specifically detects DGK-alpha in Human samples. It is validated for ELISA, Immunohistochemistry, Immunohistochemistry (Paraffin), Proximity Ligation Assay, ELISA
TRUSTED_SUSTAINABILITY

Specifications

Antigen DGK-alpha
Applications ELISA, Immunohistochemistry, Immunohistochemistry (Paraffin), Proximity Ligation Assay, Sandwich ELISA
Classification Monoclonal
Clone 2B7
Conjugate Unconjugated
Formulation In 1x PBS, pH 7.4
Gene Accession No. AAH31870
Gene Alias DAG kinase alpha, DAGK, DAGK1diacylglycerol kinase, alpha (80kD), DGK-alphaEC 2.7.1.107, diacylglycerol kinase alpha, diacylglycerol kinase, alpha 80kDa, Diglyceride kinase alpha, MGC12821,80 kDa diacylglycerol kinase, MGC42356
Host Species Mouse
Immunogen DGKA (AAH31870, 1 a.a. ~ 735 a.a) full-length recombinant protein with GST tag. MW of the GST tag alone is 26 KDa. MAKERGLISPSDFAQLQKYMEYSTKKVSDVLKLFEDGEMAKYVQGDAIGYEGFQQFLKIYLEVDNVPRHLSLALFQSFETGHCLNETNVTKDVVCLNDVSCYFSLLEGGRPEDKLEFTFKLYDTDRNGILDSSEVDKIILQMMRVAEYLDWDVSELRPILQEMMKEIDYDGSGSVSQAEWVRAGATTVPLLVLLGLEMTLKDDGQHMWRPKRFPRPVYCNLCESSIGLGKQGLSCNLCKYTVHDQCAMKALPCEVSTYAKSRKDIGVQSHVWVRGGCESGRCDRCQKKIRIYHSLTGLHCVWCHLEIHDDCLQAVGHECDCGLLRDHILPPSSIYPSVLASGPDRKNSKTSQKTMDDLNLSTSEALRIDPVPNTHPLLVFVNPKSGGKQGQRVLWKFQYILNPRQVFNLLKDGPEIGLRLFKDVPDSRILVCGGDGTVGWILETIDKANLPVLPPVAVLPLGTGNDLARCLRWGGGYEGQNLAKILKDLEMSKVVHMDRWSVEVIPQQTEEKSDPVPFQIINNYFSIGVDASIAHRFYIMREKYPEKFNSRMKNKLWYFEFATSESIFSTCKKLEESLTVEICGKPLDLSNLSLEGIAVLNIPSMHGGSNLWGDTRRPHGDIYGINQALGATAKVITDPDILKTCVPDLSDKRLEVVGLEGAIEMGQIYTKLKNAGRRLAKCSEITFHTTKTLPMQIDGEPWVQTPCTIKITHKNQMPMLMGPPPRSTNFFGFLS
Purification Method IgG purified
Quantity 0.1 mg
Regulatory Status RUO
Research Discipline Lipid and Metabolism
Primary or Secondary Primary
Gene ID (Entrez) 1606
Target Species Human
Content And Storage Aliquot and store at -20°C or -80°C. Avoid freeze-thaw cycles.
Form Purified
Isotype IgG2b κ
Show More Show Less
Product Title
Select an issue

By clicking Submit, you acknowledge that you may be contacted by Fisher Scientific in regards to the feedback you have provided in this form. We will not share your information for any other purposes. All contact information provided shall also be maintained in accordance with our Privacy Policy.