missing translation for 'onlineSavingsMsg'
Learn More

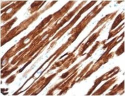
Desmin Mouse anti-Human, Mouse, Rat, Chicken, Hamster, Clone: rDES/1711, Novus Biologicals™

Product Code. 18361225 Shop All Bio Techne Products
Change view
Click to view available options
Quantity:
100 μg
20 μg
Unit Size:
100µg
20µg
2 product options available for selection
Product selection table with 2 available options. Use arrow keys to navigate and Enter or Space to select.
Product Code. Quantity unitSize
18361225 100 μg 100µg
18399616 20 μg 20µg
Use arrow keys to navigate between rows. Press Enter or Space to select a product option. 2 options available.
2 options
This item is not returnable. View return policy
Product Code. 18361225 Supplier Novus Biologicals Supplier No. NBP313865100UG

Please to purchase this item. Need a web account? Register with us today!

This item is not returnable. View return policy

Mouse Monoclonal Antibody

Desmin Monoclonal antibody specifically detects Desmin in Human, Mouse, Rat, Chicken, Hamster samples. It is validated for Immunohistochemistry (Paraffin)
TRUSTED_SUSTAINABILITY

Specifications

Antigen Desmin
Applications Immunohistochemistry (Paraffin)
Classification Monoclonal
Clone rDES/1711
Concentration 0.2 mg/ml
Conjugate Unconjugated
Dilution Immunohistochemistry-Paraffin 1-2 ug/ml
Formulation 10 mM PBS with 0.05% BSA
Gene Accession No. P17661
Gene Alias CMD1IFLJ41013, CSM1, CSM2, desmin, FLJ12025, FLJ39719, FLJ41793, intermediate filament protein
Host Species Mouse
Immunogen Recombinant full-length human desmin protein (Uniprot: P17661)
Purification Method Protein A or G purified
Quantity 100 μg
Regulatory Status RUO
Research Discipline Cell Biology, Cellular Markers
Primary or Secondary Primary
Gene ID (Entrez) 1674
Target Species Human, Mouse, Rat, Chicken, Hamster
Content And Storage Store at 4°C.
Form Purified
Isotype IgG1 κ
Show More Show Less
Product Title
Select an issue

By clicking Submit, you acknowledge that you may be contacted by Fisher Scientific in regards to the feedback you have provided in this form. We will not share your information for any other purposes. All contact information provided shall also be maintained in accordance with our Privacy Policy.