missing translation for 'onlineSavingsMsg'
Learn More

DEK Antibody (20D2), Novus Biologicals™

Rabbit Monoclonal Antibody

£260.00 - £406.00

Specifications

Antigen DEK
Clone 20D2
Dilution Flow Cytometry 1:50-1:200, ELISA, Immunohistochemistry 1:50-1:200, Immunocytochemistry/Immunofluorescence 1:50-1:200
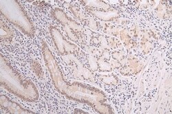
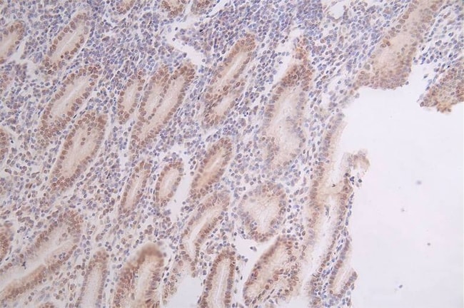
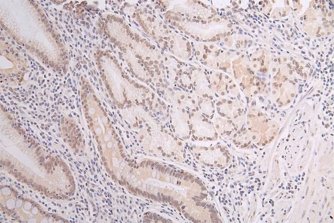
Applications Flow Cytometry, ELISA, Immunohistochemistry, Immunocytochemistry
Classification Monoclonal
View More Specs

Products 2
Product Code Brand Quantity Price Quantity & Availability  
Product Code Brand Quantity Price Quantity & Availability  
30043215
View Documents
Novus Biologicals
NBP3-26624-50ul
50 μL
£260.00
50µL
View alternative products
Save Up to 
»
Please to purchase this item. Need a web account? Register with us today!
30043650
View Documents
Novus Biologicals
NBP3-26624-100ul
100 μL
£406.00
100µL
View alternative products
Save Up to 
»
Please to purchase this item. Need a web account? Register with us today!
Description

Description

DEK Monoclonal antibody specifically detects DEK in Human samples. It is validated for Flow Cytometry, ELISA, Immunohistochemistry, Immunocytochemistry
Specifications

Specifications

DEK
Flow Cytometry 1:50-1:200, ELISA, Immunohistochemistry 1:50-1:200, Immunocytochemistry/Immunofluorescence 1:50-1:200
Monoclonal
Purified
RUO
Human
D6S231EDEK oncogene (DNA binding), DEK oncogene, protein DEK
A synthesized peptide derived from Human DEK [UniProt P35659]
Primary
Store at -20 to -70C. Avoid freeze-thaw cycles.
20D2
Flow Cytometry, ELISA, Immunohistochemistry, Immunocytochemistry
Unconjugated
Rabbit
Core ESC Like Genes, Stem Cell Markers
PBS, pH 7.4, 150mM NaCl and 50% glycerol
7913
IgG
Affinity purified
Videos
SDS
Documents

Documents

Product Certifications
Product Content Correction

Your input is important to us. Please complete this form to provide feedback related to the content on this product.

Product Title

By clicking Submit, you acknowledge that you may be contacted by Fisher Scientific in regards to the feedback you have provided in this form. We will not share your information for any other purposes. All contact information provided shall also be maintained in accordance with our Privacy Policy.

Thank You! Your feedback has been submitted. Fisher Scientific is always working to improve our content for you. We appreciate your feedback.