missing translation for 'onlineSavingsMsg'
Learn More

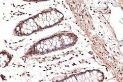
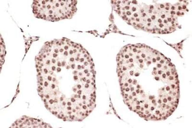
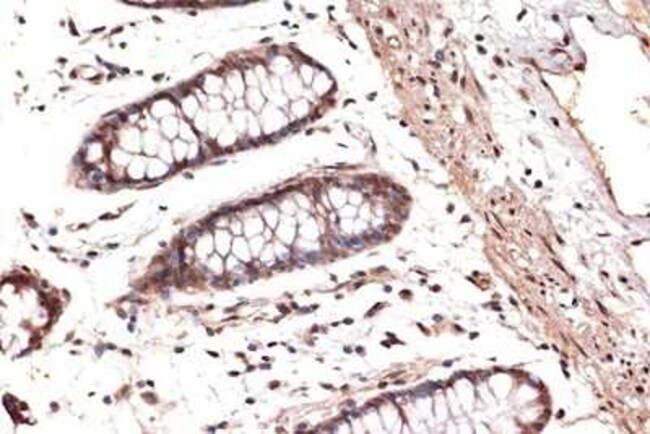
DDX17 Rabbit anti-Human, Mouse, Rat, Clone: 2U1P0, Novus Biologicals™

Product Code. 18388186 Shop All Bio Techne Products
Change view
Click to view available options
Quantity:
100 μg
20 μg
Unit Size:
100µL
20µL
2 product options available for selection
Product selection table with 2 available options. Use arrow keys to navigate and Enter or Space to select.
Product Code. Quantity unitSize
18388186 20 μg 20µL
18364692 100 μg 100µL
Use arrow keys to navigate between rows. Press Enter or Space to select a product option. 2 options available.
2 options
This item is not returnable. View return policy
Product Code. 18388186 Supplier Novus Biologicals Supplier No. NBP31660720UL

Please to purchase this item. Need a web account? Register with us today!

This item is not returnable. View return policy

Rabbit Monoclonal Antibody

DDX17 Monoclonal antibody specifically detects DDX17 in Human, Mouse, Rat samples. It is validated for Western Blot, Immunohistochemistry, Immunofluorescence, Immunohistochemistry (Paraffin)
TRUSTED_SUSTAINABILITY

Specifications

Antigen DDX17
Applications Western Blot, Immunohistochemistry, Immunofluorescence, Immunohistochemistry (Paraffin)
Classification Monoclonal
Clone 2U1P0
Conjugate Unconjugated
Dilution Western Blot, Immunohistochemistry 1:50 - 1:200, Immunocytochemistry/Immunofluorescence 1 to 4 μg/mL, Immunohistochemistry-Paraffin 1:50-1:200
Formulation PBS, 0.05% BSA, 50% glycerol, pH7.3
Gene Alias DEAD (Asp-Glu-Ala-Asp) box polypeptide 17, DEAD box protein 17, DEAD box protein p72, DEAD/H box 17, DKFZp761H2016, EC 3.6.1, EC 3.6.4.13, P72DEAD/H (Asp-Glu-Ala-Asp/His) box polypeptide 17 (72kD), probable ATP-dependent RNA helicase DDX17, RH70, RNA-dependent helicase p72
Host Species Rabbit
Immunogen Recombinant fusion protein containing a sequence corresponding to amino acids 100-200 of human DDX17 (Q92841).
Purification Method Affinity purified
Quantity 20 μg
Regulatory Status RUO
Research Discipline Translation Control, Vision
Primary or Secondary Primary
Gene ID (Entrez) 10521
Target Species Human, Mouse, Rat
Content And Storage Store at -20°C. Avoid freeze-thaw cycles.
Form Purified
Isotype IgG
Show More Show Less
Product Title
Select an issue

By clicking Submit, you acknowledge that you may be contacted by Fisher Scientific in regards to the feedback you have provided in this form. We will not share your information for any other purposes. All contact information provided shall also be maintained in accordance with our Privacy Policy.