missing translation for 'onlineSavingsMsg'
Learn More
Learn More
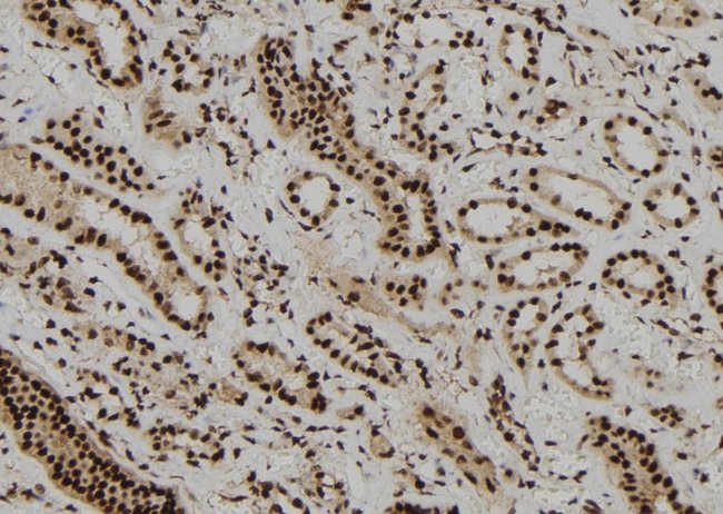
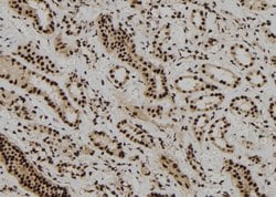
Invitrogen™ DBR1 Polyclonal Antibody

Rabbit Polyclonal Antibody
Brand: Invitrogen™ PA5100095
This item is not returnable.
View return policy
Description
Antibody detects endogenous levels of total DBR1.
The RNA lariat debranching enzyme, or DBR1, specifically hydrolyzes 2-prime-to-5-prime branched phosphodiester bonds at the branch point of excised lariat intron RNA and converts them into linear molecules.
Specifications
| DBR1 | |
| Polyclonal | |
| Unconjugated | |
| DBR1 | |
| AW018415; Dbr1; debranching enzyme homolog 1; debranching enzyme homolog 1 (S. cerevisiae); debranching RNA lariats 1; lariat debranching enzyme; RNA lariat debranching enzyme | |
| Rabbit | |
| Affinity Chromatography | |
| RUO | |
| 51163, 681234, 83703 | |
| -20°C | |
| Liquid |
| Immunohistochemistry (Paraffin), Western Blot | |
| 1 mg/mL | |
| PBS with 50% glycerol and 0.02% sodium azide; pH 7.4 | |
| Q923B1, Q9UK59 | |
| DBR1 | |
| A synthesized peptide derived from human DBR1(Accession Q9UK59), corresponding to amino acid residues Y106-I156. | |
| 100 μL | |
| Primary | |
| Human, Mouse, Rat, Monkey | |
| Antibody | |
| IgG |
Product Content Correction
Your input is important to us. Please complete this form to provide feedback related to the content on this product.
Product Title
Spot an opportunity for improvement?Share a Content Correction