missing translation for 'onlineSavingsMsg'
Learn More
Learn More
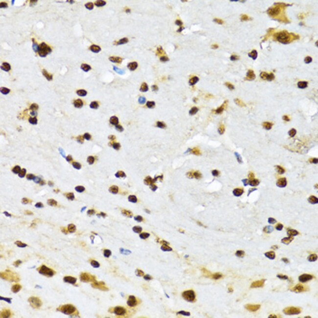
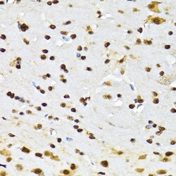
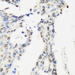
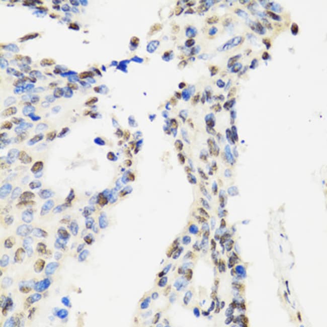
Invitrogen™ DBC1 Polyclonal Antibody

Rabbit Polyclonal Antibody
Brand: Invitrogen™ PA577144
This item is not returnable.
View return policy
Description
The antibody was affinity-purified from rabbit antiserum by affinity-chromatography using epitope-specific immunogen and the purity is > 95% (by SDS-PAGE).
DBC1 is located within a chromosomal region that shows loss of heterozygosity in some bladder cancers. It contains a 5' CpG island that may be a frequent target of hypermethylation, and it may undergo hypermethylation-based silencing in some bladder cancers.
Specifications
| DBC1 | |
| Polyclonal | |
| Unconjugated | |
| CCAR2 | |
| 2610301G19Rik; bA574M5.1 (deleted in bladder cancer chromosome region candidate 1 (IB3089A)); BMP/retinoic acid inducible neural specific 1; BMP/retinoic acid-inducible neural-specific protein (BRINP); BMP/retinoic acid-inducible neural-specific protein 1; BMP/retinoic acid-inducible neural-specific protein-1; bone morphogenetic protein/retinoic acid inducible neural-specific 1; bone morphogenic protein/retinoic acid inducible neural specific 1; bone morphogenic protein/retinoic acid inducible neural-specific 1; BRINP; Brinp1; Ccar2; cell cycle activator and apoptosis regulator 2; cell cycle and apoptosis regulator 2; cell cycle and apoptosis regulator protein 2; Cell division cycle and apoptosis regulator protein 2; DBC.1; Dbc1; DBC-1; Dbccr1; DBIRD complex subunit KIAA1967; deleted in bladder cancer 1; deleted in bladder cancer chromosome region candidate 1; deleted in bladder cancer protein 1; Deleted in bladder cancer protein 1 homolog; deleted in breast cancer 1; Deleted in breast cancer gene 1 protein; FAM5A; IB3089A; KIAA1967; mKIAA1967; NET35; p30 DBC; p30 DBC protein; p30DBC; RGD1309922 | |
| Rabbit | |
| Antigen Affinity Chromatography | |
| RUO | |
| 219158, 306007, 57805 | |
| Store at 4°C short term. For long term storage, store at -20°C, avoiding freeze/thaw cycles. | |
| Liquid |
| Immunohistochemistry (Paraffin), Western Blot, Western Blot | |
| 1 mg/mL | |
| PBS with 50% glycerol and 0.02% sodium azide; pH 7.2 | |
| Q8N163, Q8VDP4 | |
| CCAR2 | |
| Recombinant full length Human DBC1. | |
| 100 μL | |
| Primary | |
| Human, Mouse, Rat | |
| Antibody | |
| IgG |
Product Content Correction
Your input is important to us. Please complete this form to provide feedback related to the content on this product.
Product Title
Spot an opportunity for improvement?Share a Content Correction