missing translation for 'onlineSavingsMsg'
Learn More

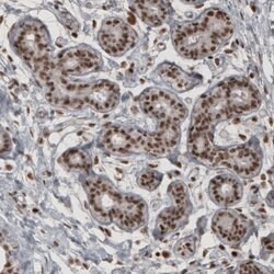
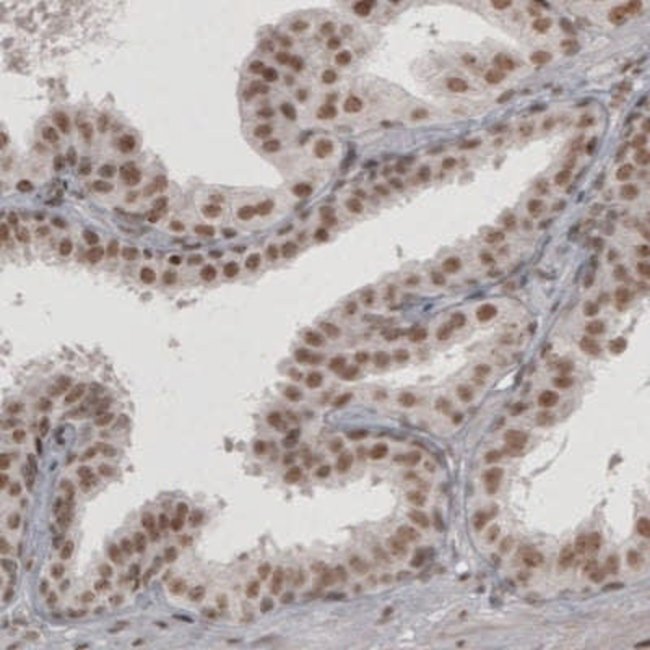
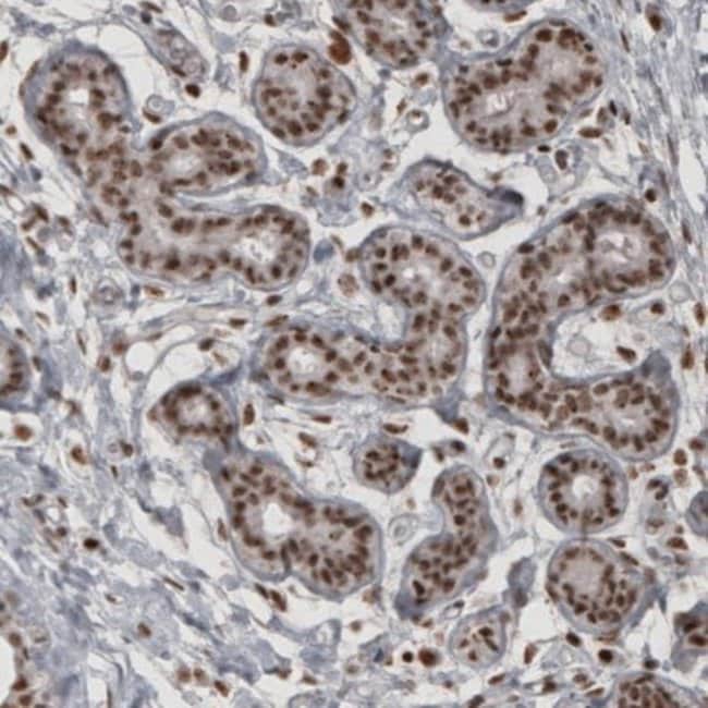
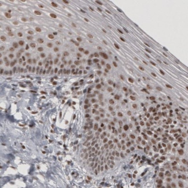
Daxx Antibody (CL3580), Novus Biologicals™

Mouse Monoclonal Antibody

Brand:  Novus Biologicals NBP2-61622

 View more versions of this product

Product Code. 18271302

  • £435.00 / 100µL

Please to purchase this item. Need a web account? Register with us today!

This item is not returnable. View return policy

Description

Description

Daxx Monoclonal specifically detects Daxx in Human samples. It is validated for Immunohistochemistry, Immunocytochemistry/Immunofluorescence, Immunohistochemistry-Paraffin.
TRUSTED_SUSTAINABILITY
Specifications

Specifications

Daxx
Monoclonal
Unconjugated
PBS, pH 7.2, containing 40% glycerol with 0.02% Sodium Azide
DAXX
This antibody was developed against a recombinant protein corresponding to amino acids: ARGSSSSGGKKCYKLENEKLFEEFLELCKMQTADHPEVVPFLYNRQQRAHSLFLASAEFCNILSRVLSRARSRPAKLYVYINELCTVLKAHSAKKKLNLAPAATTSNEPSGNNPPTHLSLDPTNAENTASQSPRTR
100 μL
Primary
Specificity of antibody verified on a Protein Array containing target protein plus 383 other non-specific proteins.
Store at 4C short term. Aliquot and store at -20C long term. Avoid freeze-thaw cycles.
IgG1
Immunohistochemistry, Immunocytochemistry, Immunofluorescence, Immunohistochemistry (Paraffin)
CL3580
Immunohistochemistry 1:200 - 1:500, Immunocytochemistry/Immunofluorescence 2-10 μg/mL, Immunohistochemistry-Paraffin 1:200 - 1:500
BING2, CENP-C binding protein, DAP6MGC126245, Daxx, death domain-associated protein 6, death-associated protein 6, death-domain associated protein, EAP1, ETS1-associated protein 1, Fas death domain-associated protein, Fas-binding protein, hDaxx, MGC126246
Mouse
Protein A purified
Apoptosis, Cancer, Tumor Suppressors
1616
Human
Purified
Product Suggestions

Product Suggestions

Videos
SDS
Documents

Documents

Certificates
Promotions

Promotions

Product Content Correction

Your input is important to us. Please complete this form to provide feedback related to the content on this product.

Product Title

By clicking Submit, you acknowledge that you may be contacted by Fisher Scientific in regards to the feedback you have provided in this form. We will not share your information for any other purposes. All contact information provided shall also be maintained in accordance with our Privacy Policy.

Thank You! Your feedback has been submitted. Fisher Scientific is always working to improve our content for you. We appreciate your feedback.