missing translation for 'onlineSavingsMsg'
Learn More
Learn More
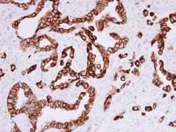
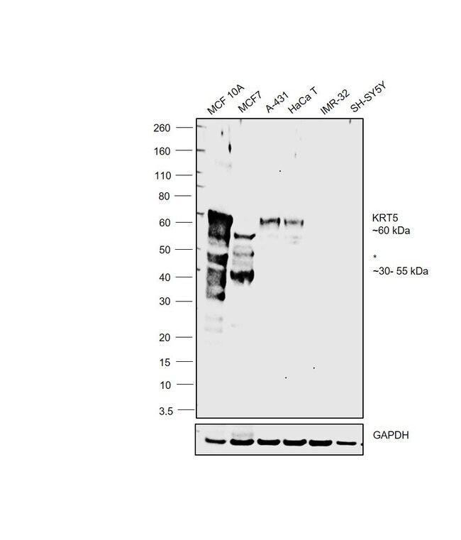
Invitrogen™ Cytokeratin 5 Polyclonal Antibody

Rabbit Polyclonal Antibody
Brand: Invitrogen™ PA529670
This item is not returnable.
View return policy
Description
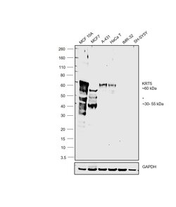
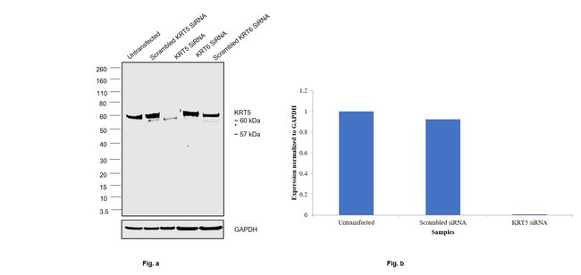
Recommended positive controls: 293T, A431, HeLa, HepG2. Predicted reactivity: Mouse (97%), Rat (97%), Dog (97%), Chicken (80%), Chimpanzee (100%), Bovine (97%). Store product as a concentrated solution. Centrifuge briefly prior to opening the vial.
Cytokeratin pan is part of a subfamily of intermediate filament proteins that are characterized by remarkable biochemical diversity, and represented in human epithelial tissues by at least 20 different polypeptides. Cytokeratins range in molecular weight between 40 kDa- 68 kDa, and an isoelectric pH between 4.9-7.8. The individual human cytokeratins are numbered 1 to 20. The various epithelia in the human body usually express cytokeratins which are not only characteristic of the type of epithelium, but also related to the degree of maturation or differentiation within an epithelium. Cytokeratin subtype expression patterns are used to an increasing extent in the distinction of different types of epithelial malignancies. The cytokeratin antibodies are not only of assistance in the differential diagnosis of tumors using immunohistochemistry on tissue sections, but are also a useful tool in cytopathology and flow cytometric assays. The composition of cytokeratin pairs vary with the epithelial cell type, stage of differentiation, cellular growth environment, and disease state. Many studies have shown the usefulness of keratins as markers in cancer research and tumor diagnosis.
Specifications
| Cytokeratin 5 | |
| Polyclonal | |
| Unconjugated | |
| KRT5 | |
| 3300001P10Rik; 58 kDa cytokeratin; alpha keratin; AW146334; CK5; CK-5; ckii; ckii protein; cytokeratin 5; cytokeratin-5; DDD; DDD1; EBS2; epidermolysis bullosa simplex 2 Dowling-Meara/Kobner/Weber-Cockayne types; K5; keratin 5; keratin 5 (epidermolysis bullosa simplex Dowling-Meara/Kobner/Weber-Cockayne types); keratin 5 (epidermolysis bullosa simplex, Dowling-Meara/Kobner/Weber-Cockayne types); keratin 5, type II; keratin complex 2, basic, gene 5; keratin type II, tail domain; keratin, type II cytoskeletal 5; keratin, type II cytoskeletal 5; keratin 5; keratin-5; Krt2-5; KRT5; KRT5A; Sak57; Tfip8; tuftelin interacting protein 8; type II alpha-keratin IIA; type II cytokeratin; type-II keratin Kb5; wu:fb02h09; wu:fj02d02; wu:fk78b12; zfCKII | |
| Rabbit | |
| Antigen affinity chromatography | |
| RUO | |
| 110308, 3852 | |
| Store at 4°C short term. For long term storage, store at -20°C, avoiding freeze/thaw cycles. | |
| Liquid |
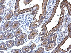
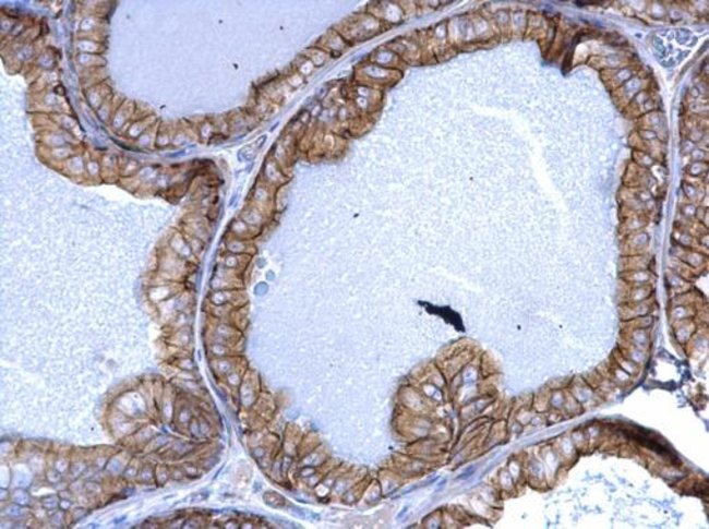
| Immunohistochemistry (Paraffin), Western Blot, Immunocytochemistry | |
| 0.35 mg/mL | |
| PBS with 1% BSA, 20% glycerol and 0.025% ProClin 300; pH 7 | |
| P13647, Q922U2 | |
| KRT5 | |
| Recombinant protein encompassing a sequence within the center region of human Cytokeratin 5. The exact sequence is proprietary. | |
| 100 μL | |
| Primary | |
| Human, Mouse | |
| Antibody | |
| IgG |
Correction du contenu d'un produit
Veuillez fournir vos retours sur le contenu du produit en remplissant le formulaire ci-dessous.
Nom du produit
Vous avez repéré une opportunité d'amélioration ?Partager une correction de contenu