missing translation for 'onlineSavingsMsg'
Learn More

Invitrogen™ Cyclophilin A Monoclonal Antibody (C1), Invitrogen™
GREENER_CHOICE

Mouse Monoclonal Antibody

Brand:  Invitrogen™ MA550859

 View more versions of this product

Product Code. 17928592

  • £350.00 / 200µL

Please to purchase this item. Need a web account? Register with us today!

This item is not returnable. View return policy

Description

Description

Immunophilins are a family of soluble cytosolic receptors capable of binding to one of two major immunosuppressant agents - cyclosporin A (CsA) or FK506. Proteins that bind FK506 are termed FK506 Binding Proteins (FKBPs) and those that bind cyclosporin A are called cyclophilins (CyP). Both CyP:CsA and FKBP:FK506 complexes have been shown to inhibit calcineurin, a calcium and calmodulin dependent protein phosphatase which has been implicated as an important signaling enzyme in T-cell activation, providing a possible mechanism of immunosuppression by CsA and FK506. Immunophilins function as peptidyl prolyl cis-trans-isomerases (PPIase) whose activity is inhibited by their respective immunosuppressant compounds. As PPIase's, immunophilins accelerate folding of some proteins both in vivo and in vitro by catalyzing slow steps in the initial folding and rearrangement of proline containing proteins. Within the cyclophilin family, there are several different proteins which show a high degree of homology including CyPA, CyPB and CyPC. CyPA, also termed CyP-18, is the most abundant and ubiquitous cyclophilin found in all vertebrate tissues and is present in T-cells.
TRUSTED_SUSTAINABILITY
Specifications

Specifications

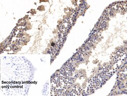
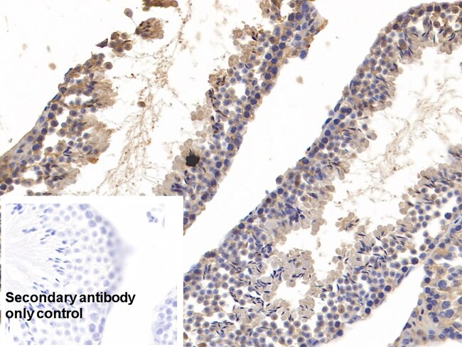
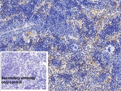
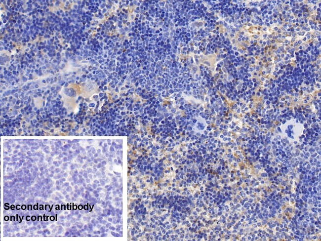
Cyclophilin A
Monoclonal
1 mg/mL
PBS with 50% glycerol and 0.05% Proclin 300; pH 7.4
P10111, P17742, P62936, P62937
Ppia
Recombinant Mouse CYPA protein, Val2-Leu164 (Accession #P17742).
200 μL
Primary
Human, Mouse, Pig, Rat
Antibody
IgG2a κ
Immunohistochemistry (Paraffin), Western Blot, Western Blot
C1
Unconjugated
Ppia
2700098C05; Cphn; CYCA; cyclophilin; Cyclophilin A; Cyclosporin A-binding protein; CyP A; CyP-18; CYPA; CyP-A; CYPH; EC 5.2.1.8; epididymis secretory sperm binding protein Li 69p; HEL-S-69p; HGNC:9253; I79_011869; MGC117158; MGC12404; MGC23397; p1B15; p31; Peptidyl-prolyl cis-trans isomerase A; Peptidyl-prolyl cis-trans isomerase A, N-terminally processed; peptidylprolyl isomerase A; peptidylprolyl isomerase A (cyclophilin A); PPIA; PPIase; PPIase A; rotamase; rotamase A; SP18; T cell cyclophilin
Mouse
Protein A/G
RUO
25518, 268373, 397637, 5478
Store at 4°C short term. For long term storage, store at -20°C, avoiding freeze/thaw cycles.
Liquid
Product Suggestions

Product Suggestions

Videos
SDS
Documents

Documents

Certificates
Promotions

Promotions

Product Content Correction

Your input is important to us. Please complete this form to provide feedback related to the content on this product.

Product Title

By clicking Submit, you acknowledge that you may be contacted by Fisher Scientific in regards to the feedback you have provided in this form. We will not share your information for any other purposes. All contact information provided shall also be maintained in accordance with our Privacy Policy.

Thank You! Your feedback has been submitted. Fisher Scientific is always working to improve our content for you. We appreciate your feedback.