missing translation for 'onlineSavingsMsg'
Learn More

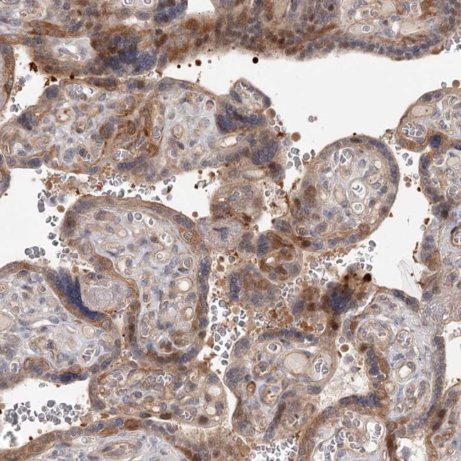
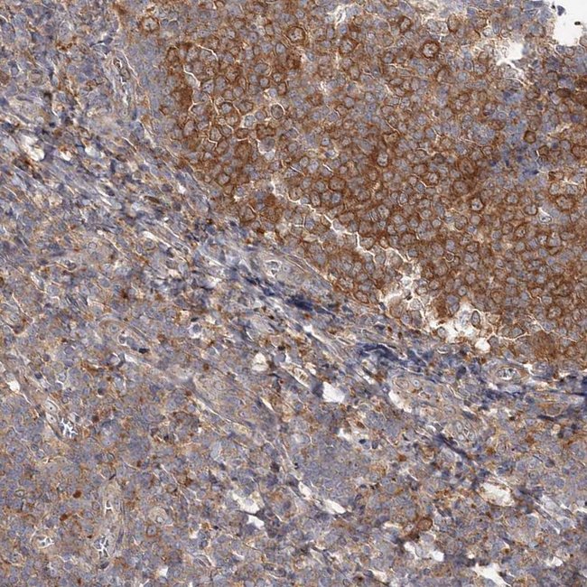
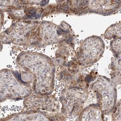
Cyclin G2 Rabbit anti-Human, Polyclonal, Invitrogen™

Rabbit Polyclonal Antibody

Brand:  Invitrogen PA557013

Product Code. 15754911

This item is currently unavailable or has been discontinued.
View the product page for possible alternatives.
View alternative products »

This item is not returnable. View return policy

Description

Description

Immunogen sequence: PSVLALCLLN LEVETLKSVE LLEILLLVKK HSKINDTEFF YWRELVSKCL AEYSSPECCK PDLKKLVWIV SRRTAQNLHN SYYSVPELPT IPEGGCFDES ES Highest antigen sequence identity to the following orthologs: Mouse - 92%, Rat - 93%.

Cyclin G2 may play a role in growth regulation and in negative regulation of cell cycle progression.
TRUSTED_SUSTAINABILITY
Specifications

Specifications

Cyclin G2
Polyclonal
Unconjugated
CCNG2
Cyclin G2
Rabbit
Antigen affinity chromatography
RUO
901
Store at 4°C short term. For long term storage, store at -20°C, avoiding freeze/thaw cycles.
Liquid
Immunocytochemistry, Immunofluorescence, Immunohistochemistry, Western Blot
0.05 mg/mL
PBS with 40% glycerol and 0.02% sodium azide; pH 7.2
Q16589
CCNG2
Recombit protein corresponding to Human Cyclin G2
100 μL
Primary
Human
Antibody
IgG
Product Suggestions

Product Suggestions

Videos
SDS
Documents

Documents

Product Certifications
Promotions

Promotions

Product Content Correction

Your input is important to us. Please complete this form to provide feedback related to the content on this product.

Product Title

By clicking Submit, you acknowledge that you may be contacted by Fisher Scientific in regards to the feedback you have provided in this form. We will not share your information for any other purposes. All contact information provided shall also be maintained in accordance with our Privacy Policy.

Thank You! Your feedback has been submitted. Fisher Scientific is always working to improve our content for you. We appreciate your feedback.

Research Use Only