Learn More
Invitrogen™ Cyclin C Polyclonal Antibody

Description
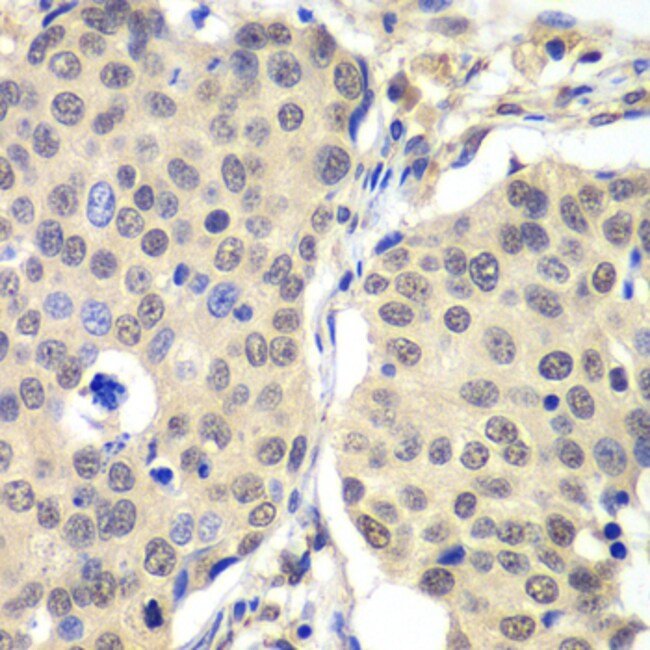
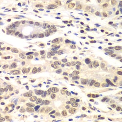
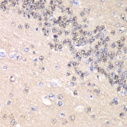
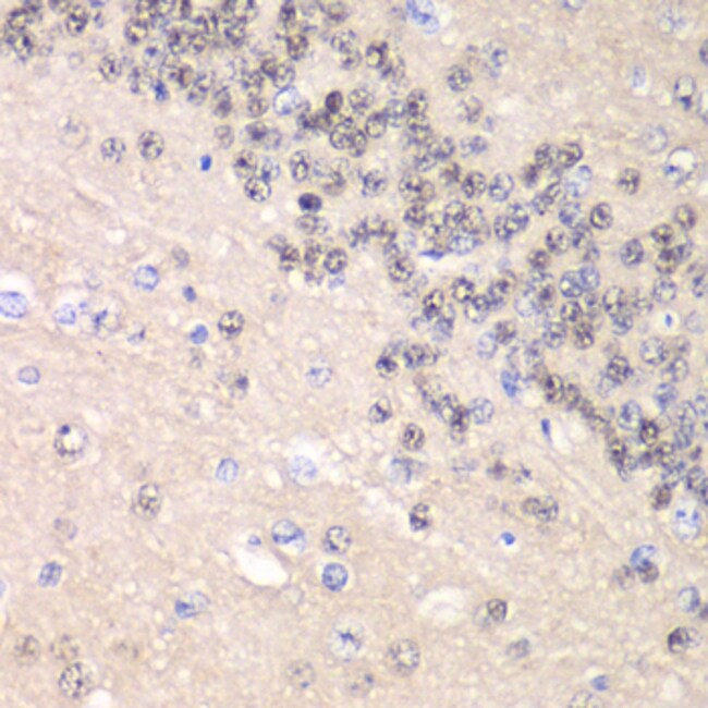
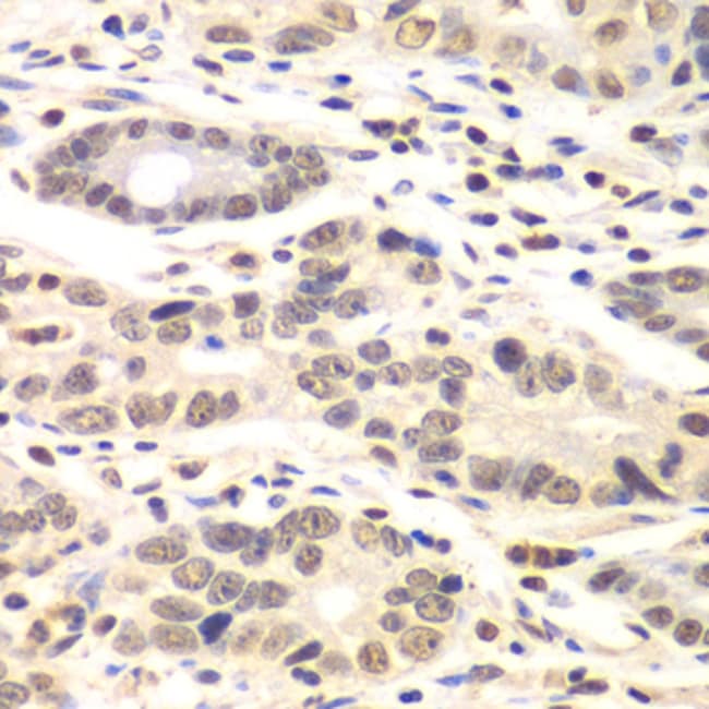
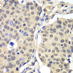
Immunogen sequence: MAGNFWQSSH YLQWILDKQD LLKERQKDLK FLSEEEYWKL QIFFTNVIQA LGEHLKLRQQ VIATATVYFK RFYARYSLKS IDPVLMAPTC VFLASKVEEF GVVSNTRLIA AATSVLKTRF SYAFPKEFPY RMNHILECEF YLLELMDCCL IVYHPYRPLL QYVQDMGQED MLLPLAWRIV NDTYRTDLCL LYPPFMIALA CLHVACVVQQ KDARQWFAEL SVDMEKILEI IRVILKLYEQ WKNFDERKEM ATILSKMPKP KPPPNSEGEQ GPNGSQNSSY SQS; Positive Samples: MCF7, NIH/3T3, Mouse liver, Mouse kidney, Rat liver; Cellular Location: Nucleus.
Specifications
Specifications
| Antigen | Cyclin C |
| Applications | ELISA, Immunohistochemistry (Paraffin), Western Blot |
| Classification | Polyclonal |
| Concentration | 0.95 mg/mL |
| Conjugate | Unconjugated |
| Formulation | PBS with 50% glycerol and 0.02% sodium azide; pH 7.3 |
| Gene | CCNC |
| Gene Accession No. | P24863, P39947, Q62447 |
| Gene Alias | AI451004; AU020987; CCNC; CG1C; CycC; cyclin C; cyclin-C; dJ199J3.4 (cyclin C); hSRB11; SRB11 homolog |
| Gene Symbols | CCNC |
| Show More |
By clicking Submit, you acknowledge that you may be contacted by Fisher Scientific in regards to the feedback you have provided in this form. We will not share your information for any other purposes. All contact information provided shall also be maintained in accordance with our Privacy Policy.