missing translation for 'onlineSavingsMsg'
Learn More
Learn More
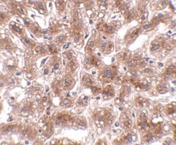
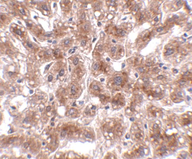
Invitrogen™ CUEDC1 Polyclonal Antibody

Description
A suggested positive control is rat liver tissue lysate. PA5-20619 can be used with blocking peptide PEP-0739.
The CUE (coupling of ubiquitin conjugation to endoplasmic reticulum degradation) domain is an evolutionarily conserved, ~40 amino acid monoubiquitin-binding domain that mediates intramolecular monoubiquitylation. CUE domains are present in eukaryotic proteins that are involved in ubiquitination and protein trafficking pathways and may be required for ubiquitination of the proteins in which they are found. CUEDC1 (CUE domain-containing protein 1) is a 386 amino acid protein that contains one CUE domain, suggesting a possible role in protein trafficking and degradation pathways. Two isoforms of CUEDC1 exist due to alternative splicing events. Defects in the gene encoding CUEDC1 may be associated with early stage cervical cancer, implicating CUEDC1 as a potential tumor marker.
Specifications
Specifications
| Antigen | CUEDC1 |
| Applications | Immunohistochemistry, Western Blot |
| Classification | Polyclonal |
| Concentration | 1 mg/mL |
| Conjugate | Unconjugated |
| Formulation | PBS with 0.02% sodium azide |
| Gene | CUEDC1 |
| Gene Accession No. | Q8R3V6, Q9NWM3 |
| Gene Alias | AI841487; C330016O16Rik; CUE domain containing 1; CUE domain-containing protein 1; Cuedc1; RGD1304861 |
| Gene Symbols | CUEDC1 |
| Show More |
Product Title
By clicking Submit, you acknowledge that you may be contacted by Fisher Scientific in regards to the feedback you have provided in this form. We will not share your information for any other purposes. All contact information provided shall also be maintained in accordance with our Privacy Policy.
Spot an opportunity for improvement?