missing translation for 'onlineSavingsMsg'
Learn More
Learn More
Invitrogen™ CTRP1 Monoclonal Antibody (C3), Invitrogen™

Mouse Monoclonal Antibody
Brand: Invitrogen™ MA550949
This item is not returnable.
View return policy
Description
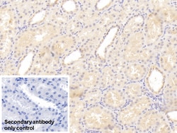
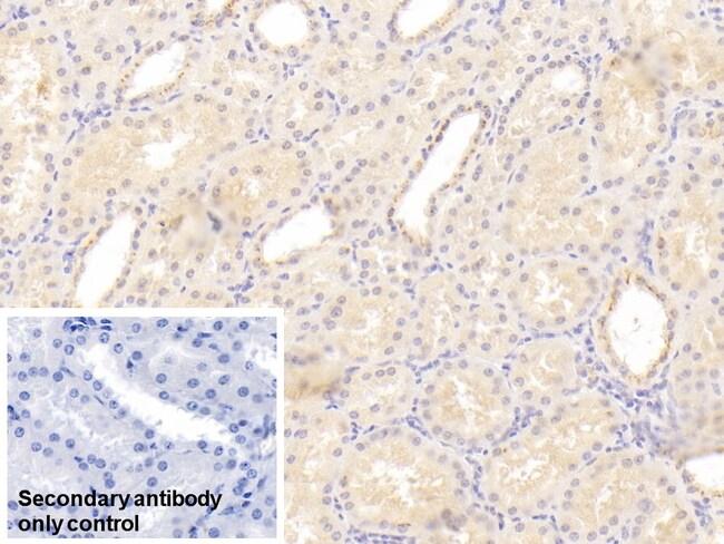
Adipose tissue of an organism plays a major role in regulating physiologic and pathologic processes such as metabolism and immunity by producing and secreting a variety of bioactive molecules termed adipokines. One highly conserved family of adipokines is adiponectin/ACRP30 and its structural and functional paralogs, the C1q/tumor necrosis factor-alpha-related proteins (CTRPs) 1-7. Unlike adiponectin, which is expressed exclusively by differentiated adipocytes, the CTRPs are expressed in a wide variety of tissues. These proteins are thought to act mainly on liver and muscle tissue to control glucose and lipid metabolism. An analysis of the crystal structure of adiponectin revealed a structural and evolutionary link between TNF and C1q-containing proteins, suggesting that these proteins arose from a common ancestral innate immunity gene. In obese (ob/ob) mice, RT-PCR analysis showed that mCTRP1 transcripts are seen at substantially higher levels in adipose tissues compared to those of normal mice.
Specifications
| CTRP1 | |
| Monoclonal | |
| 1 mg/mL | |
| PBS with 50% glycerol and 0.05% Proclin 300; pH 7.4 | |
| Q9BXJ1 | |
| C1QTNF1 | |
| Recombinant Human C1QTNF1 protein, Arg26-Pro281 (Accession #Q9BXJ1). | |
| 200 μL | |
| Primary | |
| Human, Pig | |
| Antibody | |
| IgG1 κ |
| Immunohistochemistry (Paraffin), Western Blot | |
| C3 | |
| Unconjugated | |
| C1QTNF1 | |
| 1600017K21Rik; C1q and tumor necrosis factor related protein 1; C1qtnf1; Complement C1q tumor necrosis factor-related protein 1; Ctrp1; G protein coupled receptor interacting protein; g protein-coupled receptor-interacting protein; GIP; putative secreted protein ZSIG37; UNQ310/PRO353; Zsig37 | |
| Mouse | |
| Protein A/G | |
| RUO | |
| 100217377, 114897 | |
| Store at 4°C short term. For long term storage, store at -20°C, avoiding freeze/thaw cycles. | |
| Liquid |
Product Content Correction
Your input is important to us. Please complete this form to provide feedback related to the content on this product.
Product Title
Spot an opportunity for improvement?Share a Content Correction