missing translation for 'onlineSavingsMsg'
Learn More
Learn More
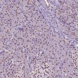
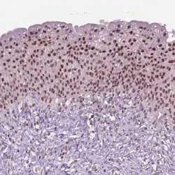
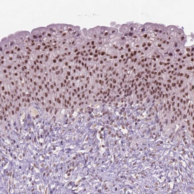
Invitrogen™ CTR9 Polyclonal Antibody

Rabbit Polyclonal Antibody
Brand: Invitrogen™ PA564362
This item is not returnable.
View return policy
Description
Immunogen sequence: YPDDVEAWIE LAQILEQTDI QGALSAYGTA TRILQEKVQA DVPPEILNNV GALHFRLGNL GEAKKYFLAS LDRAKAEAEH Highest antigen sequence identity to the following orthologs: Mouse - 100%, Rat - 100%.
MED18 is a component of the Mediator complex, which is a coactivator for DNA-binding factors that activate transcription via RNA polymerase II.
Specifications
| CTR9 | |
| Polyclonal | |
| Unconjugated | |
| Ctr9 | |
| AA409336; Ctr9; CTR9 homolog, Paf1/RNA polymerase II complex component; CTR9, Paf1/RNA polymerase II complex component; Ctr9, Paf1/RNA polymerase II complex component, homolog; Ctr9, Paf1/RNA polymerase II complex component, homolog (S. cerevisiae); Kiaa0155; mKIAA0155; p150; p150TSP; RNA polymerase-associated protein CTR9 homolog; SH2 domain binding protein 1 (tetratricopeptide repeat containing); SH2 domain-binding protein 1; SH2BP1; Tetratricopeptide repeat-containing, SH2-binding phosphoprotein of 150 kDa; TPR-containing, SH2-binding phosphoprotein; TPR-containing, SH2-binding phosphoprotein of 150 kDa; TSBP; Tsp | |
| Rabbit | |
| Antigen affinity chromatography | |
| RUO | |
| 9646 | |
| Store at 4°C short term. For long term storage, store at -20°C, avoiding freeze/thaw cycles. | |
| Liquid |
| Immunohistochemistry (Paraffin), Western Blot, Immunocytochemistry | |
| 0.1 mg/mL | |
| PBS with 40% glycerol and 0.02% sodium azide; pH 7.2 | |
| Q6PD62 | |
| Ctr9 | |
| Recombinant protein corresponding to Human CTR9. Recombinant protein control fragment (Product #RP-104093). | |
| 100 μL | |
| Primary | |
| Human | |
| Antibody | |
| IgG |
Product Content Correction
Your input is important to us. Please complete this form to provide feedback related to the content on this product.
Product Title
Spot an opportunity for improvement?Share a Content Correction