missing translation for 'onlineSavingsMsg'
Learn More

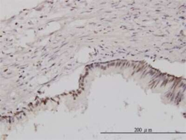
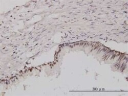
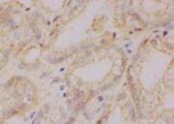
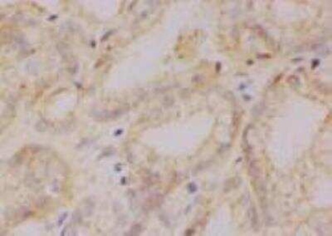
CSE1L/CAS/Exportin-2 Antibody (3D8), Novus Biologicals™

Product Code. 18392848 Shop All Bio Techne Products
Change view
Click to view available options
Quantity:
0.1 mg
Unit Size:
0.01mg
1 product options available for selection
Product selection table with 1 available options. Use arrow keys to navigate and Enter or Space to select.
Product Code. Quantity unitSize
18392848 0.1 mg 0.01mg
Use arrow keys to navigate between rows. Press Enter or Space to select a product option. 1 options available.
1 options
This item is not returnable. View return policy
Product Code. 18392848 Supplier Novus Biologicals Supplier No. H00001434M08

Please to purchase this item. Need a web account? Register with us today!

This item is not returnable. View return policy

Mouse Monoclonal Antibody

CSE1L/CAS/Exportin-2 Monoclonal antibody specifically detects CSE1L/CAS/Exportin-2 in Human, Mouse samples. It is validated for Western Blot, ELISA, Immunohistochemistry, Immunocytochemistry/ Immunofluorescence, Immunohistochemistry (Paraffin)
TRUSTED_SUSTAINABILITY

Specifications

Antigen CSE1L/CAS/Exportin-2
Applications Western Blot, ELISA, Immunohistochemistry, Immunocytochemistry, Immunohistochemistry (Paraffin)
Classification Monoclonal
Clone 3D8
Conjugate Unconjugated
Dilution Western Blot 1:500, ELISA, Immunohistochemistry, Immunocytochemistry/ Immunofluorescence, Immunohistochemistry-Paraffin
Formulation PBS, pH 7.4
Gene Accession No. NP_001307
Gene Alias CASMGC117283, Cellular apoptosis susceptibility protein, chromosome segregation 1 (yeast homolog)-like, Chromosome segregation 1-like protein, CSE1, CSE1 chromosome segregation 1-like (yeast), CSE1L, Exp2, exportin-2, Importin-alpha re-exporter, MGC130037, XPO2MGC130036
Host Species Mouse
Immunogen CSE1L (NP_001307, 872 a.a. ~ 971 a.a) partial recombinant protein with GST tag. MW of the GST tag alone is 26 KDa. LIGLFELPEDDTIPDEEHFIDIEDTPGYQTAFSQLAFAGKKEHDPVGQMVNNPKIHLAQSLHKLSTACPGRVPSMVSTSLNAEALQYLQGYLQAARVTLL
Purification Method IgG purified
Quantity 0.1 mg
Regulatory Status RUO
Research Discipline Apoptosis, Cancer, Core ESC Like Genes, Stem Cell Markers
Primary or Secondary Primary
Gene ID (Entrez) 1434
Target Species Human, Mouse
Content And Storage Aliquot and store at -20°C or -80°C. Avoid freeze-thaw cycles.
Form Purified
Isotype IgG1 κ
Show More Show Less
Product Title
Select an issue

By clicking Submit, you acknowledge that you may be contacted by Fisher Scientific in regards to the feedback you have provided in this form. We will not share your information for any other purposes. All contact information provided shall also be maintained in accordance with our Privacy Policy.