missing translation for 'onlineSavingsMsg'
Learn More

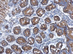
CS Citrate Synthase Antibody (1761), Novus Biologicals™

Mouse Monoclonal Antibody

Brand:  Novus Biologicals NBP2-43648

Product Code. 18777553

  • £473.00 / 0.10mL

Please to purchase this item. Need a web account? Register with us today!

This item is not returnable. View return policy

Description

Description

Ensure accurate, reproducible results in Western Blot, Immunohistochemistry (Paraffin)

CS Citrate Synthase Monoclonal specifically detects CS Citrate Synthase in Human, Mouse, Rat, Zebrafish samples. It is validated for Western Blot, Immunohistochemistry, Immunocytochemistry/Immunofluorescence, Immunohistochemistry-Paraffin.
TRUSTED_SUSTAINABILITY
Specifications

Specifications

citrate synthase, citrate synthase, mitochondrial, EC 2.3.3, EC 2.3.3.1
52 kDa
Product Suggestions

Product Suggestions

Videos
SDS
Documents

Documents

Certificates
Promotions

Promotions

Product Content Correction

Your input is important to us. Please complete this form to provide feedback related to the content on this product.

Product Title

By clicking Submit, you acknowledge that you may be contacted by Fisher Scientific in regards to the feedback you have provided in this form. We will not share your information for any other purposes. All contact information provided shall also be maintained in accordance with our Privacy Policy.

Thank You! Your feedback has been submitted. Fisher Scientific is always working to improve our content for you. We appreciate your feedback.

For Research Use Only