missing translation for 'onlineSavingsMsg'
Learn More
Learn More
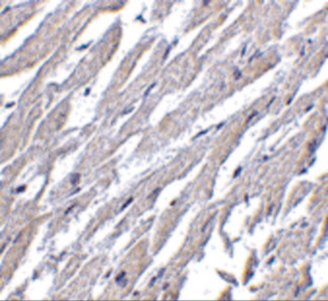
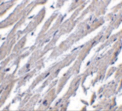
Invitrogen™ CRTH2 Polyclonal Antibody

Description
A suggested positive control is human heart tissue lysate. PA5-20333 can be used with blocking peptide PEP-0453.
CRTH2 (GPR44) is a chemoattractant receptor-homologous molecule expressed on Th2 cells that is an identified receptor for the prostaglandin D2 (PGD2) and prostaglandin D receptor. CRTH2 is expressed on Th2 cells and eosinophils and mediates chemotaxis of these cells to PGD2 and is thus thought to be a key receptor mediating eosinophil and Th2 recruitment during allergic responses. However, CRTH2-null mice showed enhanced eosinophil recruitment into the lung consistent with observations that the CRTH2-null mice produced significantly higher amounts of interleukin-5 (IL-5) and IL-3. This suggests that CRTH2 plays a nonredundant role in restricting eosinophilia and allergic response in vivo. CRTH2 is also a novel member of the G protein-coupled leukocyte chemoattractant receptor family, which is selectively expressed in Th2 but not Th1 lineage cells. CRTH2 has been reported to be expressed in the central nervous system, peripheral tissues, and in blood cells, particularly activated T helper-2 cells. Two transcripts have been isolated: a 3.5 kb transcript expressed primarily in the thalamus, frontal cortex, pons and hippocampus; and a 3.4 kb transcript expressed in fetal liver, leukocytes and thymus. CRTH2 is selectively expressed in vivo in an activated state of Th2 cells including allergen-responsive Th2 cells, suggesting its pivotal roles in ongoing Th2-type immune reactions. At least two different isoforms of CRTH2 are known to exist. Single nucleotide polymorphisms in the 3' UTR of the CRTH2 gene have been associated with asthma susceptibility.
Specifications
Specifications
| Antigen | CRTH2 |
| Applications | Immunohistochemistry, Western Blot, Immunocytochemistry |
| Classification | Polyclonal |
| Concentration | 1 mg/mL |
| Conjugate | Unconjugated |
| Formulation | PBS with 0.02% sodium azide |
| Gene | PTGDR2 |
| Gene Accession No. | Q6XKD3, Q9Y5Y4, Q9Z2J6 |
| Gene Alias | CD294; chemoattractant receptor homologous molecule expressed on T helper type 2 cells; chemoattractant receptor-homologous molecule expressed on TH2 cells; CRTH2; DL1R; DP2; G protein-coupled receptor 44; Gpr44; G-protein coupled receptor 44; Grp45; MGC130436; PGD2 receptor; prostaglandin D2 receptor 2; prostaglandin D2 receptor CRTH2; Ptgdr2; putative G-protein coupled receptor 44 |
| Gene Symbols | PTGDR2 |
| Show More |
Product Title
By clicking Submit, you acknowledge that you may be contacted by Fisher Scientific in regards to the feedback you have provided in this form. We will not share your information for any other purposes. All contact information provided shall also be maintained in accordance with our Privacy Policy.
Spot an opportunity for improvement?